中文English
ISSN 1001-5256 (Print)
ISSN 2097-3497 (Online)
CN 22-1108/R

Vol.41 No.9 (299 in total) Sep. 2025

Theme Issue: New Understanding of Metabolic Dysfunction-associated Fatty Liver Disease

Executive Chief Editors: HUANG Weishen(The Chinese University of Hong Kong)

ZHAO Jiajun(Shandong Provincial Hospital Affiliated to Shandong First Medical University)

Display Method:
Editorial
The prevalence of metabolic dysfunction-associated fatty liver disease in Asia
Weishen HUANG
2025, 41(9): 1721-1724. DOI: 10.12449/JCH250901
Abstract(982) HTML (342) PDF (748KB)(205)
Abstract:
Metabolic dysfunction-associated fatty liver disease (MAFLD) is a common chronic liver disease worldwide, with a global prevalence rate of 30.1%, and there is a tendency of increase in the prevalence rate of MAFLD, with a significant increase in Latin America (44.4%) and Asia, where the prevalence rate of MAFLD was increased by 16.6% from 2010 to 2021. There are notable regional differences within Asia. The Chinese physical examination data show that the overall detection rate of hepatic steatosis is 44.4%, and the detection rate in North China (53.5%) is significantly higher than that in South China (34.2%); the prevalence rate is 22.3% in Japan and 38.1% in Iran. This disease is closely associated with metabolic disorder. Globally, 65% of diabetic patients have MAFLD (53.2% in the Asia-Pacific region), and the prevalence rate of MAFLD in overweight Asian populations (BMI ≥23 kg/m²) reaches 47.7% to 63.4%, even with a prevalence rate of 19.2% (up to 47.7% in India) in non-obese individuals. The new diagnostic criteria are developed based on the combination of hepatic steatosis and metabolic disorder and are of particular significance in Asia with a high prevalence rate of chronic hepatitis B, and the coexistence of the two may accelerate the progression of liver cancer. Asia is facing unique challenges such as a high proportion of patients with non-obese MAFLD and doubling of the incidence rates of liver cirrhosis complications and the mortality rates of liver cancer in 2030. Although current guidelines recommend a stepwise screening strategy using FIB-4, there is still a need to enhance the implementation of primary care and the health awareness among the public and develop early intervention regimens tailored to the features of the Asian population, in order to address this major public health crisis.
Metabolic dysfunction-associated fatty liver disease: A central hub in systemic metabolic dysregulation
Meng ZHOU, Tao BO, Xiude FAN, Jiajun ZHAO
2025, 41(9): 1725-1728. DOI: 10.12449/JCH250902
Abstract(1023) HTML (221) PDF (633KB)(244)
Abstract:
The prevalence rate of metabolic associated fatty liver disease (MAFLD) is steadily increasing worldwide, and MAFLD is now considered a significant risk factor for a wide range of metabolic comorbidities. However, current clinical management strategies often address MAFLD from a single-disease perspective, lacking a comprehensive understanding of the central role and systemic impact of MAFLD in the prevention and control of metabolic comorbidities. This article reviews the current evidence supporting MASLD as both a trigger and a key node in systemic metabolic dysfunction and elaborates on how hepatic insulin resistance, lipotoxic injury, inflammatory responses, and dysregulation of hepatokines mediate organ-specific metabolic disorders including cardiovascular disease, chronic kidney disease, and diabetes. With reference to the latest national and international guidelines, this article proposes an integrated multidisciplinary management strategy, including liver-glucose joint intervention and a cross-organ “cardio-renal-hepatic” strategy, and it also advocates for a paradigm shift from conventional liver-focused management toward liver-centered systemic metabolic control, in order to effectively delay the progression of MAFLD and its related multisystem complications.
Expert Forum
Pathological mechanism of multi-organ injuries in metabolic dysfunction-associated fatty liver disease
Lina JIANG, Jingmin ZHAO
2025, 41(9): 1729-1736. DOI: 10.12449/JCH250903
Abstract(800) HTML (226) PDF (735KB)(169)
Abstract:
Metabolic dysfunction-associated fatty liver disease (MAFLD) and its progressive form, metabolic dysfunction-associated steatohepatitis (MASH), have emerged as significant types of chronic liver disease worldwide and are closely associated with metabolic syndrome. The liver-extrahepatic organ/tissue axis and the “spill-over effect” of intrahepatic inflammation play pivotal roles in the pathogenesis and progression of MAFLD/MASH, significantly impacting multi-organ metabolic homeostasis and leading to various extrahepatic injuries. These include cardiovascular diseases, sarcopenia, chronic kidney disease, non-alcoholic fatty pancreas disease, polycystic ovary syndrome, hepatocellular carcinoma, and various related solid tumors. There is a notable epidemiological link between MAFLD and the development of both liver cancer and extrahepatic malignancies. The risk of associated tumorigenesis is related to multiple factors, including persistent metabolic disorders, chronic low-grade inflammation, and gut microbiota dysbiosis. Recent research perspectives have shifted from focusing solely on hepatic pathology to recognizing systemic metabolic dysregulation, emphasizing the central role of liver-extrahepatic organ interactions in disease progression. This article aims to explore the pathogenesis of MAFLD/MASH and to review the mechanisms underlying related multi-organ extrahepatic injuries.
Potential application of multi-omics techniques in metabolic dysfunction-associated fatty liver disease: From molecular mechanisms to serological markers
Zhenni LIU, Qichen LONG, Min HU
2025, 41(9): 1737-1743. DOI: 10.12449/JCH250904
Abstract(647) HTML (208) PDF (699KB)(155)
Abstract:
Metabolic dysfunction-associated fatty liver disease (MAFLD), formerly known as nonalcoholic fatty liver disease (NAFLD), has become a common chronic liver disease worldwide. Currently, the clinical methods for diagnosing liver diseases have limitations such as invasive procedures, insufficient sensitivity, and low diagnostic accuracy, posing challenges to the early identification and precise treatment of MAFLD. In recent years, the rapid development of multi-omics techniques has provided new ideas for the precise diagnosis and treatment of MAFLD. Genomics, metabolomics, lipidomics, microbiomics, and proteomics techniques not only offer new insights into the pathogenesis of MAFLD, but also identify novel biomarkers for disease prediction, diagnosis, and staging. Meanwhile, diagnostic models constructed based on multi-omics data have shown good clinical efficacy and laid an important foundation for the development of noninvasive precise diagnostic tools for MAFLD, and therefore, it is expected to realize the transition from traditional diagnosis and treatment to precision medicine. Although the clinical application value of multi-omics markers in the early diagnosis of MAFLD has been recognized to some extent, there are still challenges in clinical translation, such as the standardization of detection, individual heterogeneity, and cost-effectiveness.
Co-management of the liver and the kidney: New prospects in the clinical management of metabolic dysfunction-associated fatty liver disease with chronic kidney disease
Qiongyue FAN, Danqin SUN, Chunsun DAI, Minghua ZHENG
2025, 41(9): 1744-1751. DOI: 10.12449/JCH250905
Abstract(713) HTML (162) PDF (1023KB)(129)
Abstract:
This article investigates the collaborative management of metabolic dysfunction-associated fatty liver disease (MAFLD) and chronic kidney disease (CKD). As major public health issues worldwide, MAFLD and CKD are closely related in terms of epidemiology, pathogenesis, and management strategies, and however, there are still many challenges in the multidisciplinary collaborative management of the two diseases. This article systematically elaborates on the epidemiology of MAFLD and CKD, summarizes their common risk factors such as metabolic disorder, genetic susceptibility, and active metabolites, and reviews the mutual screening strategies and combined management models based on noninvasive imaging, serum markers, FIB-4 score, and liver stiffness measurement. In addition, this article summarizes the advances in the application of lifestyle intervention and new drugs (such as GLP-1 receptor agonists and SGLT-2 inhibitors) and emphasizes the importance of multidisciplinary collaboration in improving the prognosis of patients. Due to the close association between MAFLD and CKD, their joint management is crucial, and therefore, it is necessary to establish a multidisciplinary collaboration mechanism and implement the measures of precise screening, comprehensive treatment, and long-term monitoring, so as to improve the prognosis of patients and reduce the risk of complications. Finally, this article proposes that in the future, more effective combined treatment regimens should be explored to expand the clinical options for the co-management of the liver and the kidney.
Guideline
Guidelines for the diagnosis and treatment of alpha 1-antitrypsin deficiency(2025 edition)
National Health Commission of the People’s Republic of China
2025, 41(9): 1752-1755. DOI: 10.12449/JCH250906
Abstract(619) HTML (281) PDF (734KB)(168)
Abstract:
In order to further standardize the diagnosis and treatment of rare diseases and ensure medical quality and safety, National Health Commission of the People’s Republic of China developed the guidelines for the diagnosis and treatment of 86 diseases in the Second List of Rare Diseases, which were officially released in June 2025, including five rare hepatobiliary diseases of Alagille syndrome, α1-antitrypsin deficiency, congenital biliary atresia, primary biliary cholangitis, and primary sclerosing cholangitis. This article introduces the etiology, epidemiology, clinical manifestations, auxiliary examination, diagnosis, and treatment of alpha 1-antitrypsin deficiency, in order to provide a reference for clinical practice.
Guidelines for the diagnosis and treatment of Alagille syndrome (2025 edition)
National Health Commission of the People’s Republic of China
2025, 41(9): 1756-1758. DOI: 10.12449/JCH250907
Abstract(834) HTML (145) PDF (707KB)(162)
Abstract:
In order to further standardize the diagnosis and treatment of rare diseases and ensure medical quality and safety, National Health Commission of the People’s Republic of China developed the guidelines for the diagnosis and treatment of 86 diseases in the Second List of Rare Diseases, which were officially released in June 2025, including five rare hepatobiliary diseases of Alagille syndrome, α1-antitrypsin deficiency, congenital biliary atresia, primary biliary cholangitis, and primary sclerosing cholangitis. This article introduces the etiology, epidemiology, clinical manifestations, auxiliary examination, diagnosis, and treatment of Alagille syndrome, in order to provide a reference for clinical practice.
Guidelines for the diagnosis and treatment of congenital biliary atresia (2025 edition)
National Health Commission of the People’s Republic of China
2025, 41(9): 1759-1761. DOI: 10.12449/JCH250908
Abstract(915) HTML (259) PDF (755KB)(273)
Abstract:
In order to further standardize the diagnosis and treatment of rare diseases and ensure medical quality and safety, National Health Commission of the People’s Republic of China developed the guidelines for the diagnosis and treatment of 86 diseases in the Second List of Rare Diseases, which were officially released in June 2025, including five rare hepatobiliary diseases of Alagille syndrome, α1-antitrypsin deficiency, congenital biliary atresia, primary biliary cholangitis, and primary sclerosing cholangitis. This article introduces the etiology, epidemiology, clinical manifestations, auxiliary examination, diagnosis, and treatment of Alagille syndrome, in order to provide a reference for clinical practice.
An excerpt of defining organ failures in patients with cirrhosis: Consensus statements (2025)
Jia CHEN, Zhujun CAO, Qing XIE
2025, 41(9): 1762-1765. DOI: 10.12449/JCH250909
Abstract(657) HTML (182) PDF (564KB)(127)
Abstract:
Acute-on-chronic liver failure (ACLF) is a syndrome of multi-organ failure in patients with liver cirrhosis triggered by acute insult(s), and it is characterized by a high risk of infection, systemic inflammation, multi-organ failure, and a high short-term mortality rate. However, there are differences in the definition of organ failure (OF) across major hepatology societies. In order to develop standardized OF criteria for patients with liver cirrhosis, an international panel of experts mainly from AASLD, EASL, and APASL developed new consensus statements on the diagnostic criteria for OF in liver cirrhosis, aiming to provide a basis for the diagnosis, prognostic evaluation, and clinical trials of ACLF. The consensus statements provide clear definitions for liver failure, infection and immune dysfunction, cerebral failure, renal failure, circulatory failure, respiratory failure, and gastrointestinal failure and systematically integrate the criteria for OF associated with liver cirrhosis for the first time, thereby establishing a core framework for research on ACLF mechanisms, standardization of clinical management, drug development, and assessment of priority for transplantation. Furthermore, the consensus statements identify the dynamic parameters that need to be validated in the future (such as the changes in bilirubin and lymphocyte-to-neutrophil ratio) and the novel biomarkers requiring further exploration. This article gives an excerpt of the core contents of the consensus statements.
An excerpt of the Federation International of Gynecology and Obstetrics guideline on liver disease and pregnancy (2025)
Guanlun ZHOU, Shijing GAO, Qianru JIN, Guorong HAN
2025, 41(9): 1766-1770. DOI: 10.12449/JCH250910
Abstract(849) HTML (233) PDF (666KB)(168)
Abstract:
The number of women entering pregnancy with chronic liver disease is rising, and gestational liver disorders affect 3% of the pregnant population. Both can be associated with significant maternal and fetal morbidity and mortality. An international panel of experts with extensive experience in managing liver disease during pregnancy from various continents contributed to the formulation of these guidelines. This edition of the International Federation of Gynecology and Obstetrics guidelines on liver disease and pregnancy systematically addresses the most common diseases of gestational liver disorders and pregnancy comorbid with acute and chronic liver diseases and summarizes evidence-based clinical guidance and management recommendations, in order to enhance the clinical management of this patient population.
Viral Hepatitis
Dynamic changes of prognostic scores and related clinical indicators in hepatitis B virus-related acute-on-chronic liver failure patients without underlying liver cirrhosis and their relationship with clinical outcomes
Wenling WANG, Manman XU, Yu WU, Jiateng ZHANG, Huaibin ZOU, Yu CHEN
2025, 41(9): 1771-1778. DOI: 10.12449/JCH250911
Abstract(526) HTML (115) PDF (1904KB)(85)
Abstract:
  Objective  To investigate the dynamic trajectories of prognostic scores and key clinical indicators in hepatitis B virus-related acute-on-chronic liver failure (HBV-ACLF) patients without liver cirrhosis, to clarify their association with outcomes, and to provide new evidence for individualized prognostic assessment.  Methods  A prospective study was conducted for the data of 154 non-cirrhotic HBV-ACLF patients who attended Beijing YouAn Hospital of Capital Medical University from January 2016 to December 2023, including prognostic scores and key biochemical indicators on Days 3, 7, 14, 21, and 28 of the disease course. According to the outcome of patients at 1 year, they were divided into death/liver transplantation group with 43 patients, liver cirrhosis group with 23 patients, and non-liver cirrhosis group with 88 patients, and the trajectory heterogeneity of different outcome subgroups was analyzed. A one-way analysis of variance was used for comparison of normally distributed continuous data among the three groups; the Kruskal-Wallis H test was used for comparison of non-normally distributed continuous data among the three groups; the Wilcoxon test was used between two groups. the chi-square test was used for comparison of categorical data between groups. The mean and its 95% confidence interval (CI) were calculated for each indicator at difference time points; the linear interpolation method was used to connect the means at adjacent time points and construct the group-specific longitudinal trend curve; the 95%CI was visualized using the semi-transparent ribbon area, with the transparency parameter (α=0.2) optimized to enhance the visual discrimination of overlapping intervals across multiple groups. A linear mixed-effects model was used to compare the longitudinal changing trend of each indicator between the patients with different outcomes; likelihood ratio was used to evaluate the significance of the interaction effect between time and group, and in case of the significant interaction effect, the slope based on the estimated marginal mean was used for comparison between two groups.  Results  There were significant differences between the three groups in the incidence rates of ascites and grade Ⅲ — Ⅳ hepatic encephalopathy, MELD score, MELD-Na score, CLIF-C ACLF score, COSSH-ACLF Ⅱ score, total bilirubin (TBil), international normalized ratio (INR), alpha-fetoprotein, blood sodium, alanine aminotransferase, and procalcitonin at the baseline(all P<0.05). The analysis of dynamic trajectories showed that the death/liver transplantation group had high levels of prognostic scores and the biochemical parameters of TBil and INR (TBil>400 μmol/L, INR>2.5), as well as a low level of platelet count (PLT) (<100×10⁹/L). The non-liver cirrhosis group had rapid improvements in indicators, with TBil<200 μmol/L, INR<1.5, and PLT>100×10⁹/L by day 28, while the liver cirrhosis group showed a trend of recovery, with TBil>200 μmol/L, INR>2.0, and PLT <100×10⁹/L on day 28, with significant global heterogeneity in the temporal trends of the above indicators across the three groups (all P<0.01).  Conclusion  Dynamic monitoring of prognostic scores and key clinical indicators can effectively stratify the 1-year outcomes of non-cirrhotic patients with HBV-ACLF. Patients with poor prognosis were typically characterized by INR >2.5 and TBil >400 μmol/L. Among those who survived beyond 1 year, individuals who subsequently progressed to cirrhosis were frequently identified by the presence of INR >1.5, TBil >200 μmol/L, and PLT <100×10⁹/L at day 28.
Efficacy and safety of coblopasvir hydrochloride capsules/sofosbuvir tablets with or without ribavirin tablets in treatment of patients with chronic hepatitis C virus infection
Chunyan MOU, Danqing XU, Huan MU, Jiangyan ZHANG, Lixian CHANG, Yuanqiang HE, Yingyuan ZHANG, Weikun LI, Xiuling ZHANG, Xiliang HE, Qin PENG, Li LIU
2025, 41(9): 1779-1787. DOI: 10.12449/JCH250912
Abstract(546) HTML (116) PDF (1348KB)(61)
Abstract:
  Objective  To investigate the therapeutic efficacy, influencing factors, and safety of a treatment regimen based on coblopasvir hydrochloride capsules/sofosbuvir tablets in patients with chronic hepatitis C virus (HCV) infection in a real-world setting.  Methods  A total of 253 patients who attended The Third People’s Hospital of Kunming from September 1, 2021 to May 31, 2024 were enrolled, among whom there were 86 patients with compensated liver cirrhosis (CLC group) and 167 patients with chronic hepatitis C (CHC group). The patients were treated with coblopasvir hydrochloride capsules (60 mg)/sofosbuvir tablets (400 mg) with or without ribavirin tablets for 12 weeks, and they were followed up for 12 weeks after drug withdrawal. The primary outcome measures were the rate of sustained virologic response at week 12 after treatment (SVR12) and safety, and the secondary outcome measures were the changes in liver function, renal function, blood routine, and liver stiffness measurements (LSM) after 4 weeks of treatment, after 12 weeks of treatment, and at 12 weeks after drug withdrawal. The independent-samples t test and the Mann-Whitney U test were used for comparison of continuous data between two groups, and the Friedman test was used for comparison between multiple groups, while the Bonferroni method was used for paired comparison within each group; the chi-square test was used for comparison of categorical data between two groups. The Logistic analysis was used to investigate related influencing factors.  Results  The 253 patients with chronic HCV infection had a mean age of 49.38±8.65 years, and there were 151 male patients (59.7%). Of all patients, 33.99% (86/253) had liver cirrhosis, 25.69% (65/253) had hypertension, 10.67% (27/253) had HIV infection, 8.70% (22/253) had diabetes, 3.95% (10/253) had liver cancer, 1.98% (5/253) had chronic hepatitis B, and 7.91% (20/253) were treatment-experienced patients. As for genotype distribution, 2.77% (7/253) had genotype 1, 12.65% (32/253) had genotype 2, 66.01% (167/253) had genotype 3, 16.60% (42/253) had genotype 6, and 1.98% (5/253) had unknown genotype. The patients had an overall SVR12 rate of 92.09%, with an SVR12 rate of 93.02% in the CLC group and 91.02% in the CHC group. The multivariate logistic regression analysis showed that age (odds ratio [OR]=1.086, 95% confidence interval [CI]: 1.007 — 1.170, P=0.032) and HCC (OR=9.178, 95%CI: 1.722 — 48.912, P=0.009) were independent influencing factors for sustained virologic response. Compared with baseline data, the CLC group had significant reductions in alanine aminotransferase (ALT) (χ2=107.103, P<0.05), aspartate aminotransferase (AST) (χ2=90.602, P<0.05), and LSM (χ2=42.235, P<0.05) after 12 weeks of treatment, while the CHC group had significant reductions in total bilirubin (χ2=15.113, P<0.05), ALT (χ2=202.237, P<0.05), AST (χ2=161.193, P<0.05), and LSM (χ2=37.606, P<0.05). The incidence rate of serious adverse events was 1.58%, and none of the patients withdrew from drug therapy; the patients with such events were relieved after active symptomatic treatment. The incidence rate of all adverse events was 23.72%, among which fatigue (17.39%) and nausea (2.37%) were the most common adverse events, and these events often disappeared within 2 weeks or were gradually relieved after symptomatic treatment.  Conclusion  Coblopasvir hydrochloride capsules/sofosbuvir tablets with or without ribavirin tablets has good efficacy and safety in the treatment of chronic HCV infection.
Fatty Liver Disease
Comparison of the diagnostic value of ultrasound-derived fat fraction, controlled attenuation parameter, and hepatic/renal ratio in the grading of hepatic steatosis in metabolic associated fatty liver disease
Xinge CAO, Yali ZHANG, Lizhuo JIA, Jianghong CHEN, Yi DONG
2025, 41(9): 1788-1794. DOI: 10.12449/JCH250913
Abstract(514) HTML (174) PDF (2103KB)(58)
Abstract:
  Objective  To investigate the diagnostic accuracy and grading capability of ultrasound-derived fat fraction (UDFF), controlled attenuation parameter (CAP), and hepatic/renal ratio (HRR) in assessing hepatic steatosis in metabolic associated fatty liver disease (MAFLD) with magnetic resonance imaging-proton density fat fraction (MRI-PDFF) as the gold standard.  Methods  A total of 150 patients with MAFLD who attended The First Hospital of Hebei Medical University from January 2023 to December 2024 were enrolled, and 148 healthy volunteers were recruited. All subjects underwent MRI-PDFF, UDFF, CAP, and HRR examinations. Hepatic steatosis was graded based on MRI-PDFF (S0:148 cases; S1:92 cases; S2:21 cases; S3:37 cases), and the MAFLD patients with different grades of hepatic steatosis were compared in terms of UDFF, CAP, HRR, and clinical features. A one-way analysis of variance was used for comparison of normally distributed continuous data between multiple groups and the Tukey HSD test was used for further comparision between two groups; the Kruskal-Wallis H test was used for comparison of non-normally distributed continuous data between multiple groups, and the Mann-Whitney U test was used for further comparison between two groups; the chi-square test was used for comparison of categorical data between groups. The Spearman correlation analysis was used to investigate the correlation between UDFF, CAP, HRR, and MRI-PDFF in different grades of MAFLD; the receiver operating characteristic (ROC) curve was used to investigate the efficacy of UDFF, CAP, and HRR in the diagnosis of different degrees of hepatic steatosis in MAFLD; the Bland-Altman difference plot was used to analyze the consistency between UDFF and MRI-PDFF in different degrees of hepatic steatosis in MAFLD.  Results  UDFF measurement gradually increased with the increase in the grade of fatty liver (H=201.52,P<0.001). The Spearman correlation analysis showed that there was a strong correlation between any two indicators of UDFF, CAP, HRR, and MRI-PDFF in S1, S2, and S3 MAFLD (all P<0.001), with the strongest correlation between UDFF and MRI-PDFF (rs1=0.884,rs2=0.962,rs3=0.929, all P<0.001). The ROC curve analysis showed that UDFF had a larger area under the ROC curve (AUC) than CAP and HRR in the graded diagnosis of S1 and S3 (all P<0.05), while in the diagnosis of S2 MAFLD, UDFF had a significantly larger AUC than HRR (P<0.05) and a similar AUC to CAP (P>0.05). The Bland-Altman difference plot showed good consistency between UDFF and MRI-PDFF in different degrees of hepatic steatosis in MAFLD.  Conclusion  Compared with CAP and HRR, UDFF can accurately measure liver fat content and has good efficacy in identifying varying degrees of hepatic steatosis in MAFLD.
Association between non-alcoholic fatty liver disease and depression: A systematic review and Meta-analysis
Shudi LI, Shuaibing CAO, Mingyu BA, Suling LI, Fei DUAN, Baoping LU
2025, 41(9): 1795-1801. DOI: 10.12449/JCH250914
Abstract(576) HTML (210) PDF (1414KB)(76)
Abstract:
  Objective  To systematically review the association between non-alcoholic fatty liver disease (NAFLD) and depression, and to provide a basis for synergistic management in clinical practice.  Methods  This study was conducted according to the PRISMA guidelines, with the PROSPERO registration number of CRD42023482013. PubMed, Embase, the Cochrane Library, Web of Science, CNKI, Wanfang Data, VIP, and CBM were searched for articles on the association between NAFLD and depression published up to November 1, 2024. The articles were screened according to the inclusion and exclusion criteria, and related data were extracted. RevMan 5.3 was used to perform the Meta-analysis.  Results  A total of 18 studies were included, involving 396 793 participants. Among these studies, 12 discussed the influence of NAFLD on depression, involving 224 269 participants, among whom there were 75 574 patients with NAFLD. The Meta-analysis showed that NAFLD was significantly associated with the risk of depression (odds ratio [OR]=1.21, 95% confidence interval [CI]: 1.12 — 1.30, P<0.001). Six studies examined the influence of depression on NAFLD, involving 172 524 participants, among whom there were 29 368 patients with depression. The meta-analysis showed that depression caused a significant increase in the risk of NAFLD (OR=1.13, 95%CI: 1.05 — 1.22, P=0.001).  Conclusion  There is a significant bidirectional association between NAFLD and depression. It is recommended to perform the screening for depression and enhance mental health monitoring in patients with NAFLD, and metabolic function assessment and exercise intervention should be performed for patients with depression.
Association of growth hormone secretagogue receptor rs2922126 gene polymorphism with susceptibility to non-alcoholic fatty liver disease
Xue HAN, Hongcheng WANG, Shousheng LIU, Yongning XIN, Zhenzhen ZHAO
2025, 41(9): 1802-1807. DOI: 10.12449/JCH250915
Abstract(387) HTML (81) PDF (646KB)(41)
Abstract:
  Objective  To investigate growth hormone secretagogue receptor (GHSR) rs2922126 gene polymorphisms and their association with genetic susceptibility to nonalcoholic fatty liver disease (NAFLD) in the Chinese Han population in Qingdao, China, and to provide a basis for diagnosis and treatment.  Methods  A total of 220 patients who were admitted to Qingdao Municipal Hospital from June 2022 to June 2023 and were diagnosed with NAFLD based on radiological examination were enrolled as NAFLD group, and 167 healthy individuals during the same period of time were enrolled as control group. Fasting blood samples were collected from all subjects, and related biochemical parameters were measured. Whole blood DNA was extracted, and polymerase chain reaction and MALDI-TOF mass spectrometer were used for genotyping. The chi-square test was used for comparison of categorical data between groups, and the independent-samples t test or the Mann-Whitney U test was used for comparison of continuous data between groups. The binary logistic regression analysis was used to investigate the risk of NAFLD.  Results  Compared with the control group, the NAFLD group had significantly higher age, body mass index (BMI), fasting plasma glucose, triglyceride, gamma-glutamyl transpeptidase, alkaline phosphatase, alanine aminotransferase, and aspartate aminotransferase, as well as a significantly lower level of high-density lipoprotein (all P<0.05). The distribution of GHSR rs2922126 genotypes was consistent with the Hardy-Weinberg equilibrium, suggesting population representativeness in the subjects enrolled (NAFLD group: P=0.106; control group: P=0.849). There was no significant difference in the distribution of AA, TA, and TT genotypes at GHSR rs2922126 locus between the control group and the NAFLD group (P=0.099), and there was also no significant difference in allele frequency between the two groups (P=0.063). In the recessive model of A allele, there was a significant difference in the distribution of AA homozygote and TA+TT genotype between the NAFLD group and the control group (P=0.032). The binary logistic regression analysis showed that in the recessive model of A allele, AA homozygote carriers had an increased risk of NAFLD compared with TA+TT genotype carriers (odds ratio [OR]=1.712, 95% confidence interval [CI]: 1.045 — 2.807, P=0.033). There was still a significant difference after adjustment for sex, age, and BMI (OR=2.156, 95%CI: 1.221 — 3.808, P=0.008). In the NAFLD group, AA genotype carriers had a significantly higher serum level of total cholesterol (TC) than TT+TA carriers (Z=-1.99,P=0.046).  Conclusion  GHSR rs2922126 AA genotype may be associated with the increased risk of NAFLD in the Chinese Han population in Qingdao, and GHSR rs2922126 AA genotype is associated with the increase in TC in NAFLD patients.
Autoimmune Liver Disease
Clinical features of recompensation in autoimmune hepatitis-related decompensated cirrhosis and related predictive factors
Xiaolong LU, Lin HAN, Huan XIE, Lilong YAN, Xuemei MA, Dongyan LIU, Xun LI, Qingsheng LIANG, Zhengsheng ZOU, Caizhe GU, Ying SUN
2025, 41(9): 1808-1817. DOI: 10.12449/JCH250916
Abstract(454) HTML (201) PDF (2222KB)(62)
Abstract:
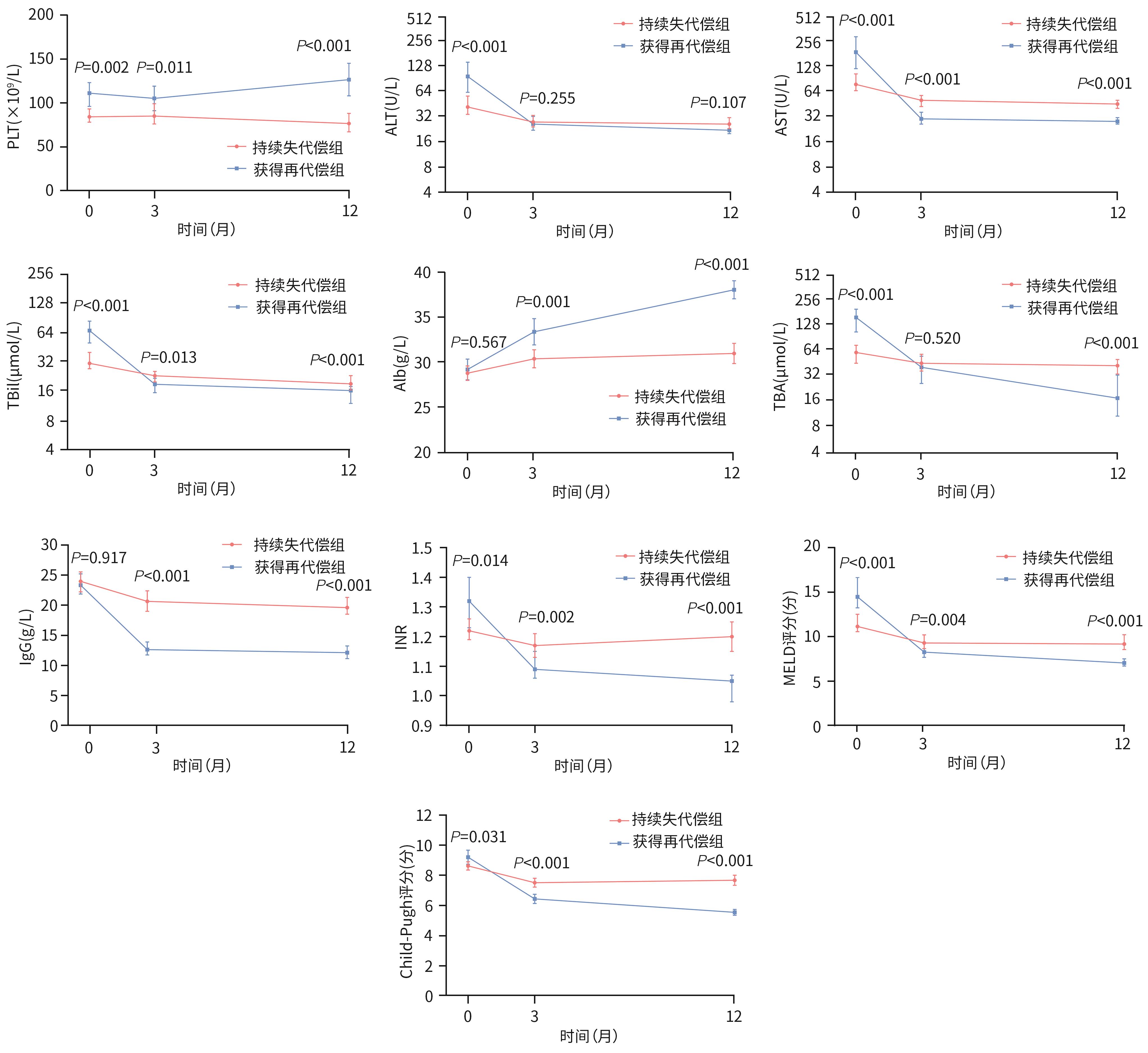
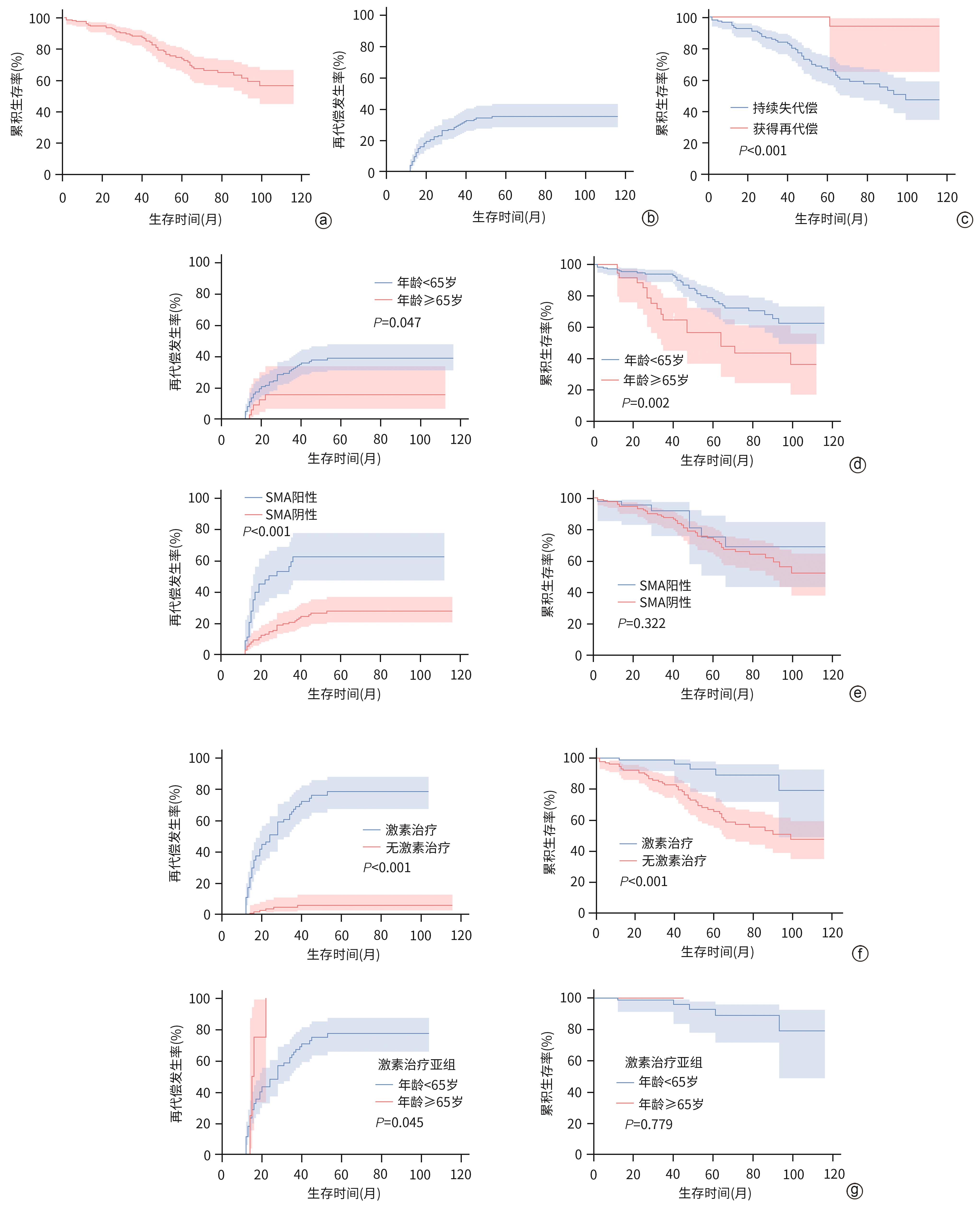
  Objective  To investigate the clinical features and outcomes of recompensation in patients with autoimmune hepatitis (AIH)-related decompensated cirrhosis, to identify independent predictive factors, and to construct a nomogram prediction model for the probability of recompensation.  Methods  A retrospective cohort study was conducted among the adult patients with AIH-related decompensated cirrhosis who were admitted to The Fifth Medical Center of PLA General Hospital from January 2015 to August 2023 (n=211). The primary endpoint was achievement of recompensation, and the secondary endpoint was liver-related death or liver transplantation. According to the outcome of the patients at the end of the follow-up, the patients were divided into the recompensation group (n=16) and the persistent decompensation group(n=150).The independent-samples t test was used for comparison of normally distributed continuous data with homogeneity of variance, and the Mann-Whitney U rank sum test was used for comparison of non-normally distributed continuous data with heterogeneity of variance; the chi-square test or the Fisher’s exact test was used for comparison of categorical data between groups; the Kaplan-Meier method was used for survival analysis; the Cox proportional-hazards regression model was used to identify independent predictive factors, and a nomogram model was constructed and validated.  Results  A total of 211 patients were enrolled, with a median age of 55.0 years and a median follow-up time of 44.0 months, and female patients accounted for 87.2%. Among the 211 patients, 61 (with a cumulative proportion of 35.5%) achieved recompensation. Compared with the persistent decompensation group, the recompensation group had significantly higher white blood cell count, platelet count (PLT), total bilirubin (TBil), alanine aminotransferase (ALT), aspartate aminotransferase (AST), total bile acid, prothrombin time, international normalized ratio (INR), SMA positive rate, Model for End-Stage Liver Disease (MELD) score, Child-Pugh score, and rate of use of glucocorticoids (all P<0.05), as well as significantly lower age at baseline, number of complications, and death/liver transplantation rate (all P<0.05). At 3 and 12 months after treatment, the recompensation group had continuous improvements in AST, TBil, INR, IgG, MELD score, and Child-Pugh score, which were significantly lower than the values in the persistent decompensation group (all P<0.05), alongside with continuous increases in PLT and albumin, which were significantly higher than the values in the persistent decompensation group (P<0.05). The multivariate Cox regression analysis showed that baseline ALT (hazard ratio [HR]=1.067, 95% confidence interval [CI]: 1.010 — 1.127, P=0.021), IgG (HR=0.463,95%CI:0.258 — 0.833, P=0.010), SMA positivity (HR=3.122,95%CI:1.768 — 5.515, P<0.001), and glucocorticoid therapy (HR=20.651,95%CI:8.744 — 48.770, P<0.001) were independent predictive factors for recompensation, and the nomogram model based on these predictive factors showed excellent predictive performance (C-index=0.87,95%CI:0.84 — 0.90).  Conclusion  Achieving recompensation significantly improves clinical outcomes in patients with AIH-related decompensated cirrhosis. Baseline SMA positivity, a high level of ALT, a low level of IgG, and corticosteroid therapy are independent predictive factors for recompensation. The predictive model constructed based on these factors can provide a basis for decision-making in individualized clinical management.
Liver Fibrosis and Liver Cirrhosis
Comparative analysis of the predictive value of fried frailty phenotype, liver fraily index and short physical performance battery in the prognosis of patients with liver cirrhosis
Jia LUO, Dai ZHANG, Shan SHAN, Xiaoming WANG, Xiaojuan OU, Yu WANG, Jidong JIA
2025, 41(9): 1818-1828. DOI: 10.12449/JCH250917
Abstract(544) HTML (129) PDF (2871KB)(82)
Abstract:
  Objective  To investigate the value of Fried Frailty Phenotype (FFP), liver frailty index (LFI), and Short Physical Performance Battery (SPPB) in predicting 2-year all-cause mortality and decompensation events in patients with liver cirrhosis.  Methods  A total of 277 patients with liver cirrhosis who were hospitalized in Beijing Friendship Hospital, Capital Medical University, from December 2020 to December 2021 were enrolled, and FFP, LFI, and SPPB were used to assess the state of frailty. Based on the scores of each tool, these patients were divided into frail and non-frail groups. These three tools were compared in terms of consistency and independent predictive performance. The primary endpoints were 2-year all-cause mortality rate and composite endpoints (death+decompensation events), and the Cox regression analysis, the receiver operating characteristic (ROC) curve, net reclassification index (NRI), and integrated discrimination improvement (IDI) index were used to analyze the predictive value of the three tools. Normally distributed continuous data were compared between two groups using the independent samples t-test, while non-normally distributed continuous data were compared using the Mann-Whitney U test. Categorical data were compared between groups using the chi-square test or Fisher’s exact test. The agreement among different frailty tools was evaluated using Cohen’s Kappa statistic. The Kaplan-Meier survival curve was plotted, and a survival analysis was performed using the log-rank test.  Results  The prevalence rate of frailty assessed by FFP, LFI, and SPPB was 37.2%, 22.4%, and 20.2%, respectively, with a moderate consistency between FFP and LFI/SPPB (κ=0.57, 95% confidence interval [CI]: 0.47 — 0.67; κ=0.51, 95%CI: 0.41 — 0.62) and a relatively high consistency between LFI and SPPB (κ=0.87, 95%CI: 0.80 — 0.94). Compared with the non-frailty group, the frailty group had significantly higher all-cause mortality rate and incidence rate of composite endpoints (P<0.001). After multivariate adjustment, FFP, LFI, and SPPB had a hazard ratio of 2.42(95%CI: 1.51 — 5.11), 2.21(95%CI: 1.11 — 4.42), and 2.21(95%CI: 1.14 — 4.30), respectively, in predicting all-cause mortality, as well as a hazard ratio of 2.51(95%CI: 1.61 — 3.91), 2.40(95%CI: 1.51 — 3.80), and 2.20(95%CI: 1.39 — 3.47), respectively, in predicting composite endpoints. Compared with Child-Pugh score, FFP had a significantly greater area under the ROC curve (AUC) in predicting all-cause mortality (0.79 vs 0.69, P=0.032) and composite endpoints (0.75 vs 0.68, P=0.044). Frailty assessment tools combined with Child-Pugh score significantly improved the performance in predicting all-cause mortality and composite endpoints, with an AUC of 0.81 — 0.82 and 0.77 — 0.78, respectively (P<0.05). NRI and IDI analyses further confirmed the improvement of the combined model in classification (all P<0.001).  Conclusion  FFP, LFI, and SPPB can independently predict adverse outcomes in patients with liver cirrhosis, among which FFP has the best predictive performance, and the combination of frailty assessment tools with Child-Pugh score can significantly enhance the accuracy of prognostic evaluation.
Effect of bioinformatics infrared liver disease therapeutic instrument on hepatic blood supply and liver fibrosis in patients with liver cirrhosis
Feng XING, Lieming XU, Changqing ZHAO
2025, 41(9): 1829-1836. DOI: 10.12449/JCH250918
Abstract(363) HTML (138) PDF (772KB)(44)
Abstract:
  Objectives  To investigate the effect of the Bioinformatics Infrared Liver Therapeutic (BILT) instrument on portal vein blood flow, liver stiffness, and spleen stiffness in patients with liver cirrhosis, and to preliminarily explore the therapeutic effect and mechanism of the BILT instrument.  Methods  A total of 78 patients with compensated liver cirrhosis who attended the outpatient service or were hospitalized in Shuguang Hospital Affiliated to Shanghai University of Traditional Chinese Medicine from October 2017 to December 2021 were enrolled, among whom 68 patients completed the 12-week treatment and were randomly divided into BILT group and simulated instrument group, with 34 patients in each group. In addition to basic treatment, the patients in the BILT group received irradiation with the BILT instrument, while those in the simulated instrument group received irradiation with the simulated instrument, for 30 minutes each time, twice a day; the course of treatment was 12 weeks for both groups. The two groups were compared in terms of laboratory markers (liver function, renal function, and routine blood test results), liver and spleen ultrasound morphology, color Doppler blood flow detection (portal vein diameter, portal vein cross-sectional area, mean portal vein velocity, peak portal vein velocity, and mean portal vein flow), and liver/spleen stiffness measurement before and after treatment. The independent samples t-test was used for comparison of normally distributed continuous data between two groups, and the non-parametric Mann-Whitney U rank sum test was used for comparison of non-normally distributed continuous data between two groups; the chi-square test was used for comparison of categorical data between groups. The paired samples correlation test was performed for the data before and after treatment within each group, and the paired samples t-test or the non-parametric Wilcoxon signed-rank test was performed for data with significant correlations.  Results  The paired samples correlation test showed no correlation in spleen attenuation parameter before and after treatment, suggesting that the results of spleen fat measured by FibroTouch could not be used for statistical analysis. After 12 weeks of treatment, compared with the control group, the treatment group had significantly greater increases in portal vein diameter, portal vein cross-sectional area, and mean portal vein flow and a significantly greater reduction in liver stiffness measurement (all P<0.05). At week 0 before treatment and after 12 weeks of treatment, comparison of the immediate effect after 30 minutes of BILT irradiation showed that the treatment group had significant increases in portal vein diameter, portal vein cross-sectional area, mean portal vein velocity, and mean portal vein flow (all P<0.05), while the control group showed no significant changes after irradiation (all P>0.05); compared with the control group, the treatment group had significantly greater changes in all indicators except peak portal vein flow at week 0 (all P<0.05). No adverse events were observed in either group.  Conclusion  The BILT instrument can improve portal vein blood flow in the liver and alleviate liver stiffness/fibrosis in patients with liver cirrhosis.
Liver Neoplasm
Clinical features of hepatitis B virus-related early-onset and late-onset liver cancer: A comparative analysis
Songlian LIU, Bo LI, Yaping WANG, Aiqi LU, Chujing LI, Lihua LIN, Qikai NING, Ganqiu LIN, Pei ZHOU, Yujuan GUAN, Jianping LI
2025, 41(9): 1837-1844. DOI: 10.12449/JCH250919
Abstract(418) HTML (151) PDF (948KB)(55)
Abstract:
  Objective  To compare the clinical features of patients with hepatitis B virus (HBV)-related early-onset liver cancer and those with late-onset liver cancer, to assess the severity of the disease, and to provide a theoretical basis for the early diagnosis and treatment of liver cancer.  Methods  A retrospective analysis was performed for 695 patients who were diagnosed with HBV-related liver cancer for the first time in Guangzhou Eighth People’s Hospital, Guangzhou Medical University, from January 2019 to August 2023, among whom 93 had early-onset liver cancer (defined as an age of<50 years for female patients and<40 years for male patients) and 602 had late-onset liver cancer (defined as an age of ≥50 years for female patients and ≥40 years for male patients). Related clinical data were collected, including demographic data, clinical symptoms at initial diagnosis, comorbidities, smoking history, drinking history, family history, routine blood test results, biochemical parameters of liver function, serum alpha-fetoprotein(AFP), virological indicators, coagulation function, and imaging findings. The pan-inflammatory indices neutrophil-to-lymphocyte ratio (NLR), platelet-to-lymphocyte ratio (PLR), and lymphocyte-to-monocyte ratio (LMR) were calculated, as well as FIB-4 index, aspartate aminotransferase-to-platelet ratio index (APRI), S index, Model for End-Stage Liver Disease (MELD) score, Child-Turcotte-Pugh (CTP) score, albumin-bilirubin (AIBL) grade, and Barcelona Clinic Liver Cancer (BCLC) stage. The independent-samples t test was used for comparison of normally distributed continuous data between two groups, and the Wilcoxon rank-sum test was used for comparison of non-normally distributed continuous data between two groups; the chi-square test or Fisher’s exact test were used for comparison of categorical data between two groups.  Results  There were significant differences between the two groups in the proportion of male patients and the incidence rates of diabetes, hypertension, and fatty liver disease (χ2=6.357, 15.230, 11.467, and 14.204, all P<0.05), and compared with the late-onset liver cancer group, the early-onset liver cancer group had a significantly higher proportion of patients progressing to liver cancer without underlying cirrhosis (χ2=24.657, P<0.001) and a significantly higher proportion of patients with advanced BCLC stage (χ2=6.172, P=0.046). For the overall population, the most common clinical symptoms included abdominal distension, abdominal pain, poor appetite, weakness, a reduction in body weight, edema of both lower limbs, jaundice, yellow urine, and nausea, and 55 patients (7.9%) had no obvious symptoms at the time of diagnosis and were found to have liver cancer by routine reexamination, physical examination suggesting an increase in AFP, or radiological examination indicating hepatic space-occupying lesion; compared with the late-onset liver cancer group, the patients in the early-onset liver cancer group were more likely to have the symptoms of abdominal distension, abdominal pain, and jaundice (all P<0.05). Compared with the late-onset liver cancer group, the early-onset liver cancer group had a significantly larger tumor diameter (Z=2.845, P=0.034), with higher prevalence rates of multiple tumors and intrahepatic, perihepatic, or distant metastasis (χ2=5.889 and 4.079, both P<0.05), and there were significant differences between the two groups in tumor location and size (χ2=3.948 and 11.317, both P<0.05). Compared with the late-onset liver cancer group, the early-onset liver cancer group had significantly lower FIB-4 index, proportion of patients with HBsAg ≤1 500 IU/mL, and levels of LMR and Cr (all P<0.05), as well as significantly higher positive rate of HBeAg and levels of log10 HBV DNA, AFP, WBC, Hb, PLT, NLR, PLR, TBil, ALT, Alb, and TC (all P<0.05).  Conclusion  Compared with late-onset liver cancer, patients with early-onset liver cancer tend to develop liver cancer without liver cirrhosis and have multiple tumors, obvious clinical symptoms, and advanced BCLC stage, which indicates a poor prognosis.
Application value of preoperative assessment of liver reserve function based on magnetic resonance cholangiopancreatography-related parameters and liver-to-muscle ratio in patients with hepatic space-occupying lesion
Yanhong YE, Lijian LU
2025, 41(9): 1845-1852. DOI: 10.12449/JCH250920
Abstract(366) HTML (112) PDF (2327KB)(51)
Abstract:
  Objective  To establish a nomogram predictive model based on magnetic resonance cholangiopancreatography-related parameters and liver-to-muscle ratio, and to investigate the application value of this model in preoperative assessment of liver reserve function in patients with hepatic space-occupying lesion.  Methods  Clinical data and Gd-EOB-DTPA MRI imaging data were collected from 112 patients with hepatic space-occupying lesion who were hospitalized and scheduled for surgery in Wuming Hospital of Guangxi Medical University from April 2022 to April 2024. According to the degree of liver injury, the patients were divided into Child-Pugh class A group (65 patients with compensated liver function) and Child-Pugh class B+C group (47 patients with decompensated liver function, including 42 patients with Child-Pugh class B liver function and 5 patients with Child-Pugh class C liver function). The two groups of patients were measured in terms of liver-to-muscle ratio, relative signal intensity of the common bile duct, and bile duct score in different phases of contrast-enhanced CT scan, and univariate and multivariate Logistic regression analyses were used to identify independent predictive factors and establish a nomogram model. In addition, the receiver operating characteristic (ROC) curve, the calibration curve, and the decision curve were plotted to assess the discriminatory ability, accuracy, and clinical application value of the model. The independent-samples t test was used for comparison of normally distributed continuous data between two groups, and the Mann-Whitney U test was used for comparison of data with skewed distribution between two groups; the chi-square test was used for comparison of categorical data between two groups.  Results  There were significant differences between the two groups in liver-to-muscle ratio at 5 minutes (Z=-3.99, P<0.001), 10 minutes (Z=-4.39, P<0.001), 15 minutes (Z=-4.23, P<0.001), and 20 minutes (Z=-5.40, P<0.001) during the hepatobiliary phase, the relative enhancement degree of the common bile duct (Z=-4.85, P<0.001), and bile duct score (t=7.99, P<0.001). The multivariate Logistic regression analysis showed that liver-to-muscle ratio at 10 minutes during the hepatobiliary phase (odds ratio [OR]=0.63, 95% confidence interval [CI]: 0.44 — 0.90, P<0.05), liver-to-muscle ratio at 20 minutes during the hepatobiliary phase (OR=0.38, 95%CI: 0.17 — 0.82, P<0.05), and bile duct score (OR=0.17, 95%CI: 0.07 — 0.39, P<0.05) were independent influencing factors for the preoperative diagnosis of liver function decompensation. The nomogram model established based on liver-to-muscle ratio at 10 minutes during the hepatobiliary phase, liver-to-muscle ratio at 20 minutes during the hepatobiliary phase, and bile duct score had an area under the ROC curve of 0.905 (95%CI: 0.849 — 0.960), with a sensitivity of 78.7% with a specificity of 89.2%.  Conclusion  The nomogram model established based on the liver-to-muscle ratio at 10 and 20 minutes during the hepatobiliary phase and bile duct score can effectively assess the status of liver reserve function in patients with hepatic space-occupying lesion before surgery.
Pharmacokinetic interactions between empagliflozin and donafenib/lenvatinib in rats
Ying LI, Zihan LIU, Wenyu DU, Jing AN, Congyang DING, Yue ZHAO, Bingnan REN, Zefang YU, Yajing LI, Zhanjun DONG
2025, 41(9): 1853-1860. DOI: 10.12449/JCH250921
Abstract(415) HTML (132) PDF (1792KB)(48)
Abstract:
  Objective  To investigate the influence of empagliflozin combined with donafenib or lenvatinib on the pharmacokinetic parameters of each drug, and to provide a reference for combined medication in clinical practice.  Methods  A total of 48 healthy male Sprague-Dawley rats were divided into 8 groups: empagliflozin group 1 and 2, donafenib group, lenvatinib group, donafenib pretreatment+empagliflozin group, lenvatinib pretreatment + empagliflozin group, empagliflozin pretreatment+donafenib group, and empagliflozin pretreatment+lenvatinib group, with 6 rats in each group. The doses of empagliflozin, donafenib, and lenvatinib were 2.5 mg/kg, 40 mg/kg, and 1.2 mg/kg, respectively. The rats in the empagliflozin group, donafenib group, and lenvatinib group were given a blank solvent by gavage for 7 consecutive days, followed by a single dose of empagliflozin, donafenib, or lenvatinib on day 7 after the administration of the blank solvent; the rats in the pretreatment groups were given the pretreatment drug by gavage for 7 consecutive days, followed by a single dose of drug combination on day 7 after administration of the pretreatment drug. Blood samples were collected at different time points, and plasma was separated to measure the concentration of each drug. A validated ultra-performance liquid chromatography-tandem mass spectrometry method was used to measure the plasma concentrations of donafenib, lenvatinib, and empagliflozin, and a non-compartmental model was used to calculate the main pharmacokinetic parameters of each drug (area under the plasma concentration-time curve [AUC], time to peak [Tmax], peak concentration [Cmax], and half-life time [t1/2]). The independent-samples t test was used for comparison of normally distributed continuous data between two groups, and the Mann-Whitney U test was used for comparison of non-normally distributed continuous data between two groups.  Results  Compared with the empagliflozin group, the donafenib pretreatment+empagliflozin group had significant increases in the AUC0-t and AUC0-∞ of empagliflozin (P=0.011 and 0.008), while the lenvatinib pretreatment+empagliflozin group had no significant change in the AUC of empagliflozin, with a slightly shorter TmaxP=0.019). Compared with the donafenib group, the empagliflozin pretreatment+donafenib group had significant increases in the AUC0-t and AUC0-∞ of donafenib (P=0.027 and 0.025), as well as a significant increase in CmaxP=0.015) and significant reductions in CLz/F and Vz/FP=0.005 and 0.004); compared with the lenvatinib group, the empagliflozin pretreatment+lenvatinib group had a reduction in the t1/2 of lenvatinib by approximately 5 hours (P=0.002), with a trend of reduction in AUC0-tP>0.05).  Conclusion  Empagliflozin combined with donafenib may alter the pharmacokinetic parameters of both drugs, leading to a significant increase in the exposure levels of both drugs, and efficacy and adverse reactions should be monitored during co-administration. There are no significant changes in the exposure levels of empagliflozin and lenvatinib during co-administration.
Other Liver Disease
Regulatory effect of microRNA-544 on liver injury in mice with sepsis and its mechanism
Songmei GUAN, Peiwu HUANG, Xiaobao GONG, Kangqiang LIN, Shigang DUAN
2025, 41(9): 1861-1867. DOI: 10.12449/JCH250922
Abstract(398) HTML (111) PDF (4734KB)(44)
Abstract:
  Objective  To investigate the role and potential mechanism of microRNA-544 (miRNA-544) in lipopolysaccharide (LPS)-induced liver injury in mice with sepsis, and to provide a new target for the treatment of liver injury in sepsis.  Methods  A total of 40 C57BL/6J mice were randomly divided into control group (intraperitoneal injection of normal saline), model group (intraperitoneal injection of LPS at a dose of 5 mg/kg), agonist group (intraperitoneal injection of LPS and miR-544 agonist at a dose of 5 mg/kg), and miR-544 inhibitor group (intraperitoneal injection of LPS and miR-544 inhibitor at a dose of 5 mg/kg), with 10 mice in each group. An automatic biochemical analyzer was used to measure the levels of alanine aminotransferase (ALT), aspartate aminotransferase (AST), and total bilirubin (TBil) in serum and the liver; Western blot was used to measure the expression levels of monocyte chemotactic protein-1 (MCP-1), CD16/32, and proteins associated with the NF-κB signaling pathway in the liver; q-PCR and ELISA were used to measure the expression levels of tumor necrosis factor-α (TNF-α), interleukin-6 (IL-6), and interleukin-1β (IL-1β) in serum. A one-way analysis of variance was used for comparison between multiple groups, and the least significant difference t-test was used for further comparison between two groups.  Results  Compared with the control group, the model group of LPS-induced sepsis had a significant reduction in the expression level of miR-544 in serum and liver tissue (P<0.01), significant pathological changes of the liver (such as inflammatory cell infiltration and central vein congestion), and significant increases in the levels of liver injury markers (ALT, AST, and TBil) in serum and the liver (all P<0.001), the expression levels of inflammatory factors (MCP-1, CD16/32, TNF-α, IL-6, and IL-1β) (all P<0.01), and the phosphorylation levels of key proteins of the NF-κB pathway (p-IKK, p-I-NF-κ, and p-p65) (all P<0.01). Compared with the model group, the miR-544 inhibitor group had a significant reduction in the expression level of miR-544 in serum and liver tissue (P<0.01), aggravated pathological changes of the liver, and significant increases in the levels of liver injury markers and inflammatory factors (ALT, AST, TBil, MCP-1, CD16/32, TNF-α, IL-6, and IL-1) (all P<0.05), as well as significant increases in the phosphorylation levels of key proteins of the NF-κB pathway (p-IKK, p-I-κB-α, and p-p65) (all P<0.01). On the contrary, the miR-544 agonist group had a significant increase in the expression level of miR-544 in serum and liver tissue (P<0.01), significant alleviation of liver pathological changes, and significant reductions in the levels of liver injury markers and inflammatory factors (ALT, AST, TBil, MCP-1, CD16/32, TNF-α, IL-6, and IL-1β) (all P<0.05), as well as significant reductions in the phosphorylation levels of key proteins of the NF-κB pathway (p-IKK, p-I-κB-α, and p-p65) (all P<0.05).  Conclusion  This study shows that miR-544 can alleviate LPS-induced liver injury in mice with sepsis by inhibiting the expression of inflammatory-related proteins and the activation of the NF-κB signaling pathway.
Biliary Disease
Influence of juxtapapillary duodenal diverticula on bile microecology in patients with primary common bile duct stones
Mengying WANG, Hongtao HOU, Wei SANG
2025, 41(9): 1868-1876. DOI: 10.12449/JCH250923
Abstract(361) HTML (133) PDF (2937KB)(40)
Abstract:
  Objective  To investigate the microbiological characteristics of bile in patients with common bile duct stones alone or comorbid with juxtapapillary duodenal diverticula (JPDD).  Methods  A prospective study was conducted among 30 patients with common bile duct stones who were admitted to Department of Gastroenterology, Hebei General Hospital, from January to May 2024, and according to the presence or absence of JPDD, they were divided into JPDD group and simple common bile duct stones group (CBD group), with 15 patients in each group. Bile samples were collected during endoscopic retrograde cholangiopancreatography, and 16S rRNA microbial sequencing was performed to compare the differences in microbial composition, diversity, and metabolic pathways between the two groups. The independent-samples t test was used for comparison of normally distributed continuous data between two groups, and the Mann-Whitney U rank sum test was used for comparison of non-normally distributed continuous data between two groups; the chi-square test or the Fisher’s exact test was used for comparison of categorical data between two groups. Pearson correlation analysis or Spearman correlation analysis was used to analyze the correlation between clinical indicators and microbial species abundance.  Results  Clinical data showed that compared with the CBD group, the JPDD group had significantly greater maximum diameter of stones (10.87±3.42 mm vs 6.80±2.08 mm, t=3.94, P<0.01) and common bile duct diameter (14.73±3.95 mm vs 9.67±2.64 mm, t=4.13, P<0.01). The microbiological analysis of the bile showed that Proteobacteria, Bacteroidetes, Firmicutes, and Actinobacteria were the most common phyla in both groups, and Proteobacteria was the dominate phylum in the JPDD group. At the genus and species levels, the JPDD group had higher relative abundances of Escherichia-Shigella, Enterococcus, and Escherichia coli. Alpha diversity was similar between the two groups, and there was a significant difference in beta diversity between the two groups (Adonis test, P<0.05). The LEfSe analysis identified 25 differentially expressed species (LDA>2) between the two groups, and the JPDD group had enrichment of 7 flora such as Enterobacter, Enterococcaceae, and Klebsiella, while the CBD group had significant enrichment of 18 flora such as Peptococcaceae, Roseburia, and Alistipes (P<0.05). The correlation analysis showed that Enterococcaceae and Enterococcus significantly enriched in the JPDD group were positively correlated with the diameter of the common bile duct and the maximum diameter of stones (P<0.01), whereas Peptococcaceae, Acinetobacter, and Alistipes with reductions in expression were negatively correlated with the diameter of the common bile duct and the maximum diameter of stones (P<0.05). The enrichment analysis of biliary microbial metabolic pathways showed that there were significant differences between the two groups in 10 metabolic pathways such as cell growth and death, transportation and decomposition, nervous system, biosynthesis of valine, leucine, and isoleucine, and histidine metabolism (P<0.05).  Conclusion  The presence of JPDD may lead to alterations in bile microbiota, such as an increase in Enterococcus and a reduction in Roseburia, and specific flora and metabolism can promote the formation of common bile duct stones.
Influence of pancreatic stent on pancreatitis after endoscopic retrograde cholangiopancreatography in patients with difficult common bile duct intubation
Meng WANG, Yang YANG, Hongyu ZHANG, Xiao WANG, Jia SHANG, Jiansheng LI
2025, 41(9): 1877-1882. DOI: 10.12449/JCH250924
Abstract(439) HTML (105) PDF (623KB)(46)
Abstract:
  Objective  To investigate the incidence rate of post-endoscopic retrograde cholangiopancreatography (ERCP) pancreatitis (PEP) in patients with difficult common bile duct intubation undergoing pancreatic duct stenting during surgery, as well as the effect of pancreatic duct stenting in the prevention and treatment of PEP, and to provide a basis for clinical treatment.  Methods  A retrospective analysis was performed for the clinical data of 186 patients with biliary tract disease who underwent initial ERCP and had difficult common bile duct intubation in The First Affiliated Hospital of Zhengzhou University from January 2016 to December 2024, and according to the condition of pancreatic duct stenting, the patients were divided into control group with 73 patients (without pancreatic duct stenting), 5Fr-5 cm stent group with 67 patients, and 7Fr-5 cm stent group with 46 patients. The three groups were compared in terms of baseline data, intraoperative procedures, and postoperative outcomes. A one-way analysis of variance was used for comparison of normally distributed continuous data between multiple groups, and the least significant difference t-test was used for further comparison between two groups; the Kruskal-Wallis H rank sum test was used for comparison of non-normally distributed continuous data between multiple groups, and the Dunn method was used for further comparison between two groups; the chi-square test or the Fisher’s exact test was used for comparison of categorical data between groups. The Logistic regression analysis was used to investigate the influencing factors for PEP in patients with difficult intubation during ERCP.  Results  The overall incidence rate of PEP was 12.37% (23/186). Compared with the 5Fr-5 cm stent group and the 7Fr-5 cm stent group, the control group had a significantly higher incidence rate of PEP, a significantly higher score of postoperative abdominal pain, and a significantly longer length of postoperative hospital stay (all P<0.01), and 55.56% of the patients in the control group had moderate-to-severe PEP. The univariate Logistic regression analysis showed that intradiverticular papilla, double guide wire intubation, needle knife precut, the application of basket and balloon for removal of common bile duct stones, intraoperative biopsy, pancreatic duct stenting, intubation time≤10 minutes, frequency of intubation≤5 times, preoperative CRP≤5 mg/L were influencing factors for PEP (all P<0.05), and the multivariate Logistic regression analysis showed that intraoperative pancreatic duct stenting, needle knife precut, and intraoperative biopsy were independent influencing factors for the onset of PEP (all P<0.05).  Conclusion  Pancreatic duct stenting during ERCP can effectively reduce the risk of PEP in patients with difficult intubation, while needle knife precut and intraoperative biopsy can increase the risk of PEP in patients with difficult intubation.
Case Report
Primary splenic lymphoma misdiagnosed as Sjögren’s syndrome with liver cirrhosis: A case report
Chengcheng LI, Yuhong LIU, Lu WANG, Hong PENG, Xinhua LUO, Hong LI
2025, 41(9): 1883-1887. DOI: 10.12449/JCH250925
Abstract(464) HTML (106) PDF (5783KB)(65)
Abstract:
Primary splenic lymphoma is a rare malignant neoplasm, with similar clinical manifestations to Sjogren’s syndrome and liver cirrhosis, which often leads to misdiagnosis. This article reports a case of primary splenic lymphoma misdiagnosed as Sjogren’s syndrome with liver cirrhosis, in order to improve the understanding of primary splenic lymphoma, Sjogren’s syndrome, and liver cirrhosis and avoid misdiagnosis and treatment delay.
Review
Research advances in traditional Chinese medicine for the prevention and treatment of inflammation-to-cancer transformation in chronic hepatitis
Simiao YU, Sici WANG, Haocheng ZHENG, Yongqiang SUN, Jing JING, Tingting HE, Liping WANG, Aozhe ZHANG, Xin WANG, Xia DING, Ruilin WANG
2025, 41(9): 1888-1895. DOI: 10.12449/JCH250926
Abstract(792) HTML (242) PDF (1466KB)(102)
Abstract:
Primary liver cancer is one of the most common malignant tumors of the digestive system, and the “inflammation-to-cancer transformation” (ICT) of chronic hepatitis is the core pathological process of the progression of chronic hepatitis to liver cancer. Persistent and uncontrolled liver inflammation in patients with chronic hepatitis often leads to repeated liver tissue damage and repair, which gradually develops into liver fibrosis and cirrhosis, eventually leading to malignant transformation through the mechanisms such as gene mutation and microenvironment imbalance. ICT in chronic hepatitis is the key link between chronic hepatitis and liver cancer, and its dynamic evolution involves various pathogenic factors such as dampness, heat, deficiency, toxin, and stasis; among which damp-heat and vital energy deficiency are the initiating factors for ICT of chronic hepatitis, while intermingled stasis and toxin are the key pathological products that promote malignant transformation. Based on the concept of preventive treatment, traditional Chinese medicine can effectively delay and even block the ICT of chronic hepatitis by regulating inflammation, metabolism, and abnormal cell proliferation through multiple targets, which provides important strategies and research directions for the prevention and treatment of liver cancer.
Noninvasive diagnosis of anti-mitochondrial antibody-negative primary biliary cholangitis
Jia ZHOU, Jingyuan ZHOU, Yanhang GAO
2025, 41(9): 1896-1901. DOI: 10.12449/JCH250927
Abstract(580) HTML (126) PDF (826KB)(77)
Abstract:
Primary biliary cholangitis (PBC) is an autoimmune disease characterized by cholestasis of the intrahepatic bile ducts. Anti-mitochondrial antibody (AMA) is currently the key serum marker for the diagnosis of PBC, and however, there are still 5%—10% of patients with PBC who have undetectable AMA in their serum and need liver biopsy to make a confirmed diagnosis. Noninvasive diagnosis remains a challenge in AMA-negative PBC patients. This article reviews the research advances in specific serum markers other than AMA, summarizes the advantages and disadvantages of these serum markers in the diagnosis of AMA-negative PBC, and analyzes the types of new biomarkers that may be used in the noninvasive diagnosis of patients with AMA-negative PBC, in order to provide new ideas for identifying serum markers with higher sensitivities.
The role of dendritic cells in autoimmune liver diseases and autoimmune pancreatitis
Wenfeng XI, Xiaoyin BAI, Aiming YANG
2025, 41(9): 1902-1907. DOI: 10.12449/JCH250928
Abstract(405) HTML (104) PDF (1063KB)(60)
Abstract:
Dendritic cells (DCs), as key regulatory cells in the immune system, play a significant role in the pathogenesis of autoimmune diseases. This article reviews the mechanism of action of DCs and related research advances in autoimmune liver diseases (including autoimmune hepatitis, primary biliary cholangitis, and primary sclerosing cholangitis) and autoimmune pancreatitis. By summarizing the functions and heterogeneity of DCs in these diseases, this article reveals the crucial role of DCs in the imbalance of immune tolerance and chronic inflammation. Related research findings provide an important basis for a deep understanding of the role of DCs in autoimmune liver diseases and autoimmune pancreatitis and lay a foundation for the development of precise treatment strategies.
Safe platelet threshold in patients undergoing endoscopic variceal ligation and cyanoacrylate injection due to esophagogastric variceal bleeding: Consensus and challenges
Luyao JIA, Yuqiang NIE, Biao XIE, Hongbo GAO, Chuo LI, Chunming HUANG
2025, 41(9): 1908-1912. DOI: 10.12449/JCH250929
Abstract(656) HTML (151) PDF (606KB)(49)
Abstract:
Esophagogastric variceal bleeding is a common complication and the leading cause of death in advanced liver cirrhosis, and endoscopic variceal ligation (EVL) and endoscopic cyanoacrylate injection (ECI) are commonly used treatment strategies. Thrombocytopenia is one of the most common hematological complications in liver cirrhosis, and patients with severe thrombocytopenia have the potential risk of bleeding, which may affect treatment decision-making by clinicians and endoscopists. This article reviews the evolution of guidelines and clinical research advances regarding EVL/ECI in China and globally, in order to provide a basis for decision making among clinicians.
The role of gut microbiota homeostasis in the occurrence and development of hepatocellular carcinoma and targeted intervention strategies
Yan CUI, Junzhe JIAO, Ruijuan YAN, Shuguang YAN, Hailiang WEI, Zhanjie CHANG, Haibo ZHANG, Jingtao LI
2025, 41(9): 1913-1919. DOI: 10.12449/JCH250930
Abstract(427) HTML (230) PDF (1037KB)(55)
Abstract:
Hepatocellular carcinoma (HCC), as the sixth most common malignant tumor worldwide, poses a serious threat to human health due to its insidious onset and high mortality rate. This article reviews the molecular mechanisms and intervention strategies of gut microbiota (GM) homeostasis in the development and progression of HCC, in order to provide new ideas for the intervention and treatment of HCC. Studies have shown that GM dysbiosis, intestinal leakage, microbial-associated molecular pattern, bacterial translocation, and metabolic products play key roles in the progression of HCC. GM imbalance may lead to immune escape, thereby promoting tumor cell proliferation and metastasis. This article elaborates on the association between GM and HCC, deeply analyzes the mechanism of action of GM in the development and progression of HCC, investigates the role of bile acid-related metabolites, short-chain fatty acid-related metabolites, and other metabolites in HCC, and explores the strategies for targeting GM in the treatment of HCC, including probiotics, prebiotics, antibiotics, Toll-like receptor 4 antagonists, and fecal microbiota transplantation. This article emphasizes that maintaining the integrity of the intestinal barrier and GM homeostasis is of great significance in the prevention and treatment of HCC, which provides a direction for developing new diagnosis and treatment strategies.
Gene therapy for hepatocellular carcinoma:Current research status and challenges
Huimin DOU, Wanxiang WANG
2025, 41(9): 1920-1924. DOI: 10.12449/JCH250931
Abstract(488) HTML (233) PDF (643KB)(76)
Abstract:
Hepatocellular carcinoma (HCC) is one of the most common malignant tumors worldwide, and most patients are in the advanced stage at the time of diagnosis, leading to a poor prognosis and a low survival rate. Traditional treatment methods often have limited efficacy, while gene therapy, as an emerging therapeutic strategy, has shown great potential with numerous challenges. This article mainly introduces the latest advances in the field of gene therapy for HCC and analyzes the key issues that need to be addressed in the future development of this field. Gene therapy has become a research hotspot in HCC due to its advantages of strong targeting, diverse mechanisms of action, and individualized treatment. Although gene therapy is still in the exploratory stage in the treatment of HCC, some preliminary research findings have been achieved. According to the reports in the literature, the combination of gene therapy with other treatment methods, such as chemotherapy and immunotherapy, can improve treatment outcomes and reduce the side effects of monotherapy. With the continuous advances in technology, gene therapy is expected to bring new hope to HCC patients.
Application of the “two-hit” hypothesis in animal models of alcoholic liver disease
Mengsi LIU, Yandi XIE
2025, 41(9): 1925-1930. DOI: 10.12449/JCH250932
Abstract(488) HTML (181) PDF (708KB)(55)
Abstract:
Alcoholic liver disease (ALD) poses a serious threat to the health of drinkers worldwide, and establishing appropriate animal models of ALD is an important foundation for conducting disease-related research. Due to the physiological and pathophysiological differences between rodents and humans, alcohol feeding alone is difficult to induce a model that closely matches the disease manifestations in humans, and therefore, the “two-hit” hypothesis ( combining alcohol with another liver injury factor to induce the expected state of liver injury) has been widely used. This article classifies the more commonly used and effective “two-hit” regimens into three major categories of special diets, chemical substances, and genetic engineering, which are divided into high-fat diet, high-iron diet, carbon tetrachloride, lipopolysaccharide, and genetic engineering for further analysis. Although these five “two-hit” models have their own advantages and disadvantages, they can nearly cover the disease spectrum of ALD. In the future, the development of ALD animal models can focus on narrowing the pathophysiological differences in alcohol-induced liver injury between animals and humans and simulating more complex drinking patterns in humans.
Application of three-dimensional hepatocyte models in drug-induced liver injury
Ziting LI, Ke ZHANG, Feng ZHAO, Yinling MA
2025, 41(9): 1931-1936. DOI: 10.12449/JCH250933
Abstract(471) HTML (95) PDF (691KB)(32)
Abstract:
Drug-induced liver injury (DILI) is the main cause of failures in drug development and the withdrawal of approved drugs from the market, and therefore, there is an increasing demand for accurate prediction and in vitro testing. However, the two-dimensional cell culture system of hepatocytes is not suitable for the toxicity study of long-term drug use due to the fact that it cannot accurately simulate and reproduce the real environment and micro-ecosystem of hepatocytes in vivo. In view of this, there is an urgent need for liver models with higher predictability to assess the hepatotoxicity of drugs in drug development and the safety evaluation of active compounds. This article reviews the construction and application of three-dimensional in vitro hepatocyte culture systems for DILI, in order to provide a reference for their effective implementation in DILI analysis.
Role of mitochondrial division/fusion in different liver diseases
Yuanqian MIN, Shan LI, Xianghua LIU, Yi YANG, Baoping LU
2025, 41(9): 1937-1942. DOI: 10.12449/JCH250934
Abstract(401) HTML (126) PDF (1127KB)(40)
Abstract:
Mitochondria are abundant in hepatocytes and play an important role in the normal operation of the liver. Mitochondrial division/fusion is two biological processes that maintain the dynamic balance of mitochondria, and it is closely associated with the change of cell function and the development and progression of diseases. Balance of mitochondrial division/fusion is of key significance in the treatment of many diseases. Recent studies have shown that abnormal mitochondrial division/fusion plays a significant role in fatty liver disease, hepatitis, liver fibrosis, and liver cancer, which are the four stages of the progression of liver diseases, and the therapeutic targets based on the regulation of such abnormalities are constantly being identified. By reviewing the role of mitochondrial division/fusion in different stages of liver disease, this article further demonstrates the role of mitochondrial division/fusion mechanism in chronic liver diseases and also provides a scientific basis for more ideas on the treatment, remission or even reversal of liver disease progression based on mitochondrial division/fusion.
Mechanisms of aryl hydrocarbon receptor in liver diseases
Jing QIN, Zhilong HE, Yu LIU, Kai HU
2025, 41(9): 1943-1948. DOI: 10.12449/JCH250935
Abstract(469) HTML (187) PDF (695KB)(46)
Abstract:
Aryl hydrocarbon receptor (AhR) plays an important role in the development and progression of liver diseases. This article elaborates on the structure of AhR and its function in liver development and provides a detailed analysis of its molecular mechanisms in diseases such as metabolic associated fatty liver disease, alcoholic liver disease, viral hepatitis, drug-induced liver injury, autoimmune hepatitis, liver cirrhosis, and liver cancer. This article also reviews the research advances in AhR agonists and antagonists and analyzes their potential application prospects in disease treatment. At the same time, it points out that although AhR is a promising therapeutic target, there are still various challenges in its clinical application. It is suggested that future research should focus on developing AhR modulators with high specificity and low toxicity and further explore its mechanism of action in different liver diseases.
Mechanism of action of the nuclear factor-kappa B signaling pathway in liver diseases and its potential as a therapeutic target
Wenqian FENG, Yang DU, Dewen MAO, Weiyu CHEN, Lei FU, Luyi YAN, Chun YAO, Yanmei LAN
2025, 41(9): 1949-1955. DOI: 10.12449/JCH250936
Abstract(474) HTML (271) PDF (1307KB)(51)
Abstract:
Nuclear factor-kappa B (NF-κB) is an important intracellular transcription factor widely involved in the processes such as immune response, inflammatory response, cell proliferation, and apoptosis. The abnormal activation of the NF-κB signaling pathway plays a pivotal role in various liver diseases including chronic hepatitis, liver fibrosis, liver cirrhosis, and hepatocellular carcinoma. Extensive studies have shown that inhibiting NF-κB activity may effectively reduce inflammation and fibrosis and improve metabolic disorders. Several natural compounds, such as matrine and salvianolic acid B, have shown the potential in suppressing NF-κB activity, thereby exerting anti-inflammatory, anti-fibrotic, and anti-tumor effects. This article systematically reviews the critical role of the NF-κB signaling pathway in liver diseases and its potential as a therapeutic target, in order to highlight its potential as a therapeutic target for liver diseases and provide new directions for the treatment of liver diseases.
Mechanism of action of energy metabolism in hepatic ischemia-reperfusion injury and related targeted therapies
Tiantian YANG, Lu HUANG, Xiao ZHANG, Yali REN, Weitian XU, Song ZHANG
2025, 41(9): 1956-1960. DOI: 10.12449/JCH250937
Abstract(557) HTML (454) PDF (879KB)(41)
Abstract:
Hepatic ischemia-reperfusion injury (HIRI) is an inevitable major complication during surgical procedures such as liver transplantation and partial hepatectomy, and its prevention and treatment are hotspots and difficulties in clinical practice. This article reviews the mechanism of injury caused by energy metabolism disorders during liver ischemia-reperfusion and related treatment strategies and summarizes the current advances in metabolism-related therapies, in order to provide new ideas for further clarifying the onset mechanism of HIRI and exploring effective clinical prevention and treatment strategies for HIRI.
Acknowledgements
Current reviewers
2025, 41(9): 1765-1765. DOI: 10.12449/JCH2509.zhixie
Abstract(186) HTML (53) PDF (1234KB)(29)
Abstract: