中文English
ISSN 1001-5256 (Print)
ISSN 2097-3497 (Online)
CN 22-1108/R

留言板

尊敬的读者、作者、审稿人, 关于本刊的投稿、审稿、编辑和出版的任何问题, 您可以本页添加留言。我们将尽快给您答复。谢谢您的支持!

姓名
邮箱
手机号码
标题
留言内容
验证码

第42卷 第3期(总305期) 2026年3月
“肝豆状核变性诊治进展” 重点号

执行主编:郑素军

首都医科大学附属北京佑安医院

显示方式:
述评
肝豆状核变性的诊疗进展与挑战
侯维, 郑素军
2026, 42(3): 497-501. DOI: 10.12449/JCH260301
摘要(183) HTML (55) PDF (652KB)(76)
摘要:
肝豆状核变性是一种由铜转运腺苷三磷酸酶β基因变异导致的铜代谢障碍性疾病,传统诊断主要依赖莱比锡评分,治疗则以铜螯合剂和锌制剂为主。近年来,围绕非铜蓝蛋白结合铜的多种新检测方法、肝组织金属硫蛋白免疫组化以及64Cu正电子发射断层显像-计算机体层成像等技术不断涌现,为肝豆状核变性的早期识别与病程评估提供了更多工具。同时,新剂型四盐酸曲恩汀和潜在新药甲烷氧化菌素,为安全、高效驱铜提供了新的药物选择,而基因治疗为临床治愈肝豆状核变性带来了曙光。本文系统综述了肝豆状核变性的诊断与治疗进展,讨论其在真实世界应用中的优势与局限,并对未来临床实践与研究方向提出了思考。
专家论坛
回顾和展望: 全球肝豆状核变性诊治共识/指南的异同
王晓平
2026, 42(3): 502-508. DOI: 10.12449/JCH260302
摘要(256) HTML (61) PDF (749KB)(57)
摘要:
本文系统梳理并比较了自2022年以来国际上发布的肝豆状核变性英文诊疗共识/指南,重点聚焦于多学科专家共识/指南的推荐意见。主要包括2022年美国肝病学会发布的多学科治疗指导、2025年欧盟(欧洲肝病学会/欧洲罕见病网络)发布的临床实践指南以及2022年英国肝病学会发布的实践指导,并结合2025年中国多学科诊治肝豆状核变性的专家共识国际版进行对比分析与归纳讨论。整体而言,欧盟、美国和英国肝豆状核变性指南与中国版共识在核心内容方面基本一致,但在部分细节方面,因不同国家的经验和研究进展的差异有所不同。总之,目前全球范围内尚缺少一部以循证医学证据为主导的真正意义上的肝豆状核变性医学指南,这有待于国际间同行在未来开展更深入的研究与合作。
肝豆状核变性临床诊断的难点与挑战
张宇, 杨永峰
2026, 42(3): 509-514. DOI: 10.12449/JCH260303
摘要(137) HTML (35) PDF (686KB)(57)
摘要:
肝豆状核变性临床表型异质性强,常与胆汁淤积性肝病、活动性肝炎等肝病及神经精神疾病重叠,易致误诊、漏诊。本文聚焦临床易混淆环节,概述铜转运腺苷三磷酸酶β(ATP7B)基因功能缺陷的病理生理基础,系统阐述铜蓝蛋白、血清总铜/非铜蓝蛋白结合铜、24 h尿铜排泄量及D-青霉胺激发试验、肝铜定量与组织学检查在不同场景中的判读要点和局限,并总结相对可交换铜等新型动态铜指标在诊断、家系筛查与疗效监测中的潜力。同时讨论ATP7B基因检测在“灰区”病例中的价值、临床意义未明变异解读难点及我国人群突变谱特点,以及莱比锡评分在复杂肝病背景下可能出现的性能下降。总体而言,肝豆状核变性的诊断不宜依赖单一指标,应采用“表型-生化-动态铜指标-组织/基因-评分体系”的多维整合与分层决策路径,并结合我国真实世界数据优化关键阈值和流程,以提升早期识别与家系管理效率,改善患者长期预后。
肝豆状核变性患者脂代谢紊乱的临床表型与致病机制
高东静, 王睿欣, 李新华
2026, 42(3): 515-521. DOI: 10.12449/JCH260304
摘要(112) HTML (40) PDF (814KB)(50)
摘要:
肝豆状核变性是一种遗传性铜代谢障碍疾病,其特征是铜在肝脏和大脑等组织中异常蓄积,导致严重的肝脏与神经系统损害。该病常伴随脂代谢异常,其机制探索日益受到关注。本文介绍了肝豆状核变性患者脂代谢紊乱的临床特征,阐述了患者血清脂质水平变化与肝脂肪变性的研究进展,分析了铜与脂代谢相互作用的潜在机制,并总结了脂代谢相关分子在疾病诊断与临床评估中的意义。临床实践中应重视对肝豆状核变性患者脂代谢指标的监测与评估,以期促进该病的综合管理并改善患者预后。
肝豆状核变性的中医证候学与辨证治疗
郝文杰, 杨文明, 程婷, 江海林, 汪瀚, 汪美霞
2026, 42(3): 522-528. DOI: 10.12449/JCH260305
摘要(107) HTML (43) PDF (837KB)(42)
摘要:
肝豆状核变性是一种常染色体隐性遗传的铜代谢障碍疾病,西医主要采用驱铜及对症治疗。本文系统梳理了肝豆状核变性的中医病因病机认识,认为其核心在于先天禀赋异常,铜毒内蕴为标,肝、脾和肾功能失调为本,病机关键为“毒、瘀、痰、虚”交织互结。通过文献研究与临床观察,总结出肝豆状核变性常见的中医证型,包括肝气郁结证、湿热内蕴证、痰瘀热结证、肝肾阴亏证、脾肾阳虚证及虚损痰瘀证。针对各证型提出相应的治法与代表方药,并探讨了分期论治与中西医结合治疗的优势。本文旨在为肝豆状核变性的中医临床辨证施治提供系统参考,以更好地发挥中医药在该病治疗中的优势。
肝豆状核变性的中西医结合治疗
古玉梅, 黄叶青, 张蓓, 刘爱群, 彭忠兴, 洪铭范, 周志华
2026, 42(3): 529-534. DOI: 10.12449/JCH260306
摘要(103) HTML (45) PDF (733KB)(46)
摘要:
肝豆状核变性是少数可治疗的神经遗传性疾病之一。目前,肝豆状核变性的治疗仍以西药为主,但20世纪90年代以来,杨任民教授团队的多项研究显示中医药亦具有良好疗效。本文在肝豆状核变性低铜饮食原则的基础上,系统阐述了西医治疗(药物、肝移植和脾切除)的利弊及注意事项,综述了国内代表性的中医药研究成果,特别是临床广泛使用的肝豆汤,研究表明,其能有效改善患者的神经系统症状、保护肝肾功能,且避免了金属螯合剂的潜在药物不良反应,可作为肝豆状核变性长期辅助治疗的有效选择。须强调,肝豆状核变性中西医结合治疗应注重病症结合,避免使用含铜量高的中药,以防加重病情。
热点·视点·观点
慢加急性肝衰竭肝移植评估决策的演进、融合与挑战
武羽, 徐曼曼, 陈煜
2026, 42(3): 535-540. DOI: 10.12449/JCH260307
摘要:
慢加急性肝衰竭是在慢性肝病基础上出现的急性肝功能失代偿综合征,短期病死率高,肝移植是确切有效的根治性手段,可显著提高生存率。然而,在全球性器官短缺的背景下,如何在拯救生命与避免无效移植并优化器官利用之间取得平衡,是临床决策的关键。本文系统梳理了慢加急性肝衰竭患者肝移植评估决策体系的演进,指出其核心已从依赖单一的终末期肝病模型评分,转变为基于多维度预后模型、动态评估和多学科协作的模式。未来,融合东西方标准、利用人工智能精准预测以及建立更公平的优先分配系统,将是该领域发展的关键方向。
指南与规范
肝病专科联盟体系下代谢相关脂肪性肝病中西医结合分级诊疗路径与多学科协作智慧化全程管理规范
肝病专科联盟专家共识编委会
2026, 42(3): 541-555. DOI: 10.12449/JCH260308
摘要(275) HTML (111) PDF (1729KB)(83)
摘要:
代谢相关脂肪性肝病(MAFLD)已成为我国慢性肝病的主要病因,其与心血管疾病、2型糖尿病等多种代谢紊乱密切关联,共同构成一种复杂的全身性疾病。当前临床实践中,筛查与风险分层工具的应用缺乏标准化,跨学科协作机制亦不完善,导致MAFLD全程管理效率受限,患者预后差异显著。为应对上述挑战,本文基于肝病专科联盟体系,构建了一套科学、系统且具有可操作性的MAFLD分级诊疗与全程管理临床路径。该路径的核心内容包括:确立基于影像学与代谢异常的双维度诊断标准;明确以无创纤维化-4指数作为肝病专科联盟内初始风险分层的关键节点,联合肝脏硬度测定实现精准分流;系统制定肝病科与内分泌科、心内科、营养科等多学科间的双向转诊指征及协作流程;在强化生活方式干预基础上,整合循证药物治疗与中医辅助干预策略。此外,本文前瞻性提出以数据驱动、智能预警与全病程随访为特征的智慧化管理平台框架。本临床路径旨在为肝病专科联盟体系下各级医疗机构提供标准化MAFLD管理工具,推动从“单一肝病诊疗”向“多系统共病一体化管理”模式转变,以期最终降低肝病及心血管相关终点事件风险,改善患者长期预后。
《2025年欧洲肝病学会临床实践指南: 肝脏血管病》摘译
王彦植, 何其臻, 罗薛峰, 祁兴顺
2026, 42(3): 556-567. DOI: 10.12449/JCH260309
摘要(141) HTML (54) PDF (747KB)(57)
摘要:
2025年,欧洲肝病学会发布了有关肝脏血管病的临床实践指南。该指南全面概述了肝脏血管病的危险因素、诊断和治疗策略,旨在根据现有的最佳证据为治疗肝脏血管病患者提供指导。本文对该实践指南的推荐意见和指导性声明进行摘译。
指南解读
《肝硬化门静脉高压症食管、胃底静脉曲张破裂出血诊治专家共识(2025版)》解读
范钟辰, 张凯旋, 张阳, 曹学峰, 张兴元
2026, 42(3): 568-572. DOI: 10.12449/JCH260310
摘要(334) HTML (69) PDF (607KB)(188)
摘要:
肝硬化门静脉高压症是因肝硬化造成门静脉系统压力持续性增高而引发的一组临床综合征,并可引起一系列并发症。其中,食管、胃底静脉曲张破裂出血因发生紧急、病死率高,已成为门静脉高压症最严重的并发症之一。自《肝硬化门静脉高压症食管、胃底静脉曲张破裂出血诊治专家共识(2019版)》发布以来,国内外在该领域的研究已取得显著进展。为制定符合我国国情的专家共识,中华医学会外科学分会相关专家组织并编撰《肝硬化门静脉高压症食管、胃底静脉曲张破裂出血诊治专家共识(2025版)》。本文将解读新版共识的更新要点,探讨新、旧版共识的主要差异,旨在强化临床医生对新版共识的理解,为临床医生在相关工作中提供借鉴和参考。
病毒性肝炎
慢性乙型肝炎低病毒血症患者HBV RNA的表达及临床意义
陈娅, 何毅怀, 陈应华, 罗亚文
2026, 42(3): 573-578. DOI: 10.12449/JCH260311
摘要(105) HTML (37) PDF (787KB)(49)
摘要:
  目的  探讨低病毒血症(LLV)患者血清乙型肝炎病毒(HBV)RNA的表达特征,并评估其对LLV的辅助诊断价值。  方法  选取2023年12月—2025年5月在遵义医科大学附属医院就诊的402例慢性乙型肝炎(CHB)患者,根据不同病毒载量分为完全病毒学应答(CVR)组(n=190,HBV DNA<20 IU/mL)和LLV组(n=212,20 IU/mL≤HBV DNA<2 000 IU/mL)。对两组患者年龄、性别、疾病类型、血清HBV RNA、乙型肝炎病毒e抗原(HBeAg)、丙氨酸氨基转移酶(ALT)、天冬氨酸氨基转移酶(AST)及总胆红素(TBil)等指标进行分析,同时根据LLV组中HBeAg状态分为HBeAg阴性组(n=140)和HBeAg阳性组(n=72)。计数资料两组间比较采用χ2检验;计量资料两组间比较采用Mann-Whitney U检验。通过多因素Logistic回归分析CHB患者发生LLV的影响因素。运用Spearman秩相关分析LLV组中HBV RNA与HBV DNA、ALT、AST及TBil的相关性。应用受试者操作特征(ROC)曲线评估HBV RNA对LLV的诊断效能。  结果  与CVR组相比,LLV组患者的血清HBV RNA水平更高[3(1~5) log10 copies/mL vs 2(1~3) log10 copies/mL,Z=-2.346,P=0.019],乙型肝炎肝硬化(31.13% vs 22.11%,χ2=4.155,P=0.042)及肝细胞癌(9.91% vs 4.74%,χ2=3.876,P=0.049)患者占比均较高。多因素Logistic回归分析显示,HBV RNA是CHB患者发生LLV的独立危险因素(比值比=1.163,95%置信区间:1.058~1.278,P=0.002)。在LLV患者中,HBeAg阳性者HBV RNA水平显著高于HBeAg阴性者[6(4~7) log10 copies/mL vs 2(1~3) log10 copies/mL,Z=-9.962,P<0.001]。相关性分析结果显示,LLV患者HBV RNA水平与HBV DNA、ALT、AST及TBil均无显著相关性(P值均>0.05)。ROC曲线分析表明,HBV RNA诊断LLV的曲线下面积为0.567(P=0.021),最佳截断值为4.5 log10 copies/mL,灵敏度为30.7%,特异度为85.8%。  结论  血清HBV RNA水平是CHB患者发生LLV的独立危险因素,尤其在HBeAg阳性患者中表达显著升高,可作为临床风险评估的潜在生物学标志物。
脂肪性肝病
代谢相关脂肪性肝病患者肝纤维化标志物、炎症标志物与胆结石患病风险的关联性分析
章帅, 靳寿璐, 李晚情, 史茜菁, 梁好, 董浩, 陆戴龙, 朱滢, 向晓星, 刘军
2026, 42(3): 579-585. DOI: 10.12449/JCH260312
摘要:
  目的  阐明代谢相关脂肪性肝病(MAFLD)患者肝纤维化评分、炎症标志物与胆结石之间的关联,探索肝纤维化评分在炎症标志物与胆结石关系中的中介作用。  方法  回顾性纳入2014年1月—2023年6月在苏北人民医院接受体检并确诊MAFLD的患者,根据腹部彩超检查结果分为胆结石组(n=1 724)和非胆结石组(n=12 843)。收集患者临床数据,包括人口统计学信息、相关病史和家族史,以及体格检查、彩色多普勒超声检查和实验室生化指标。与代谢紊乱和胰岛素抵抗相关的生物标志物包括甘油三酯-葡萄糖指数(TyG)、TyG-体重指数(TyG-BMI)、血浆致动脉粥样硬化指数(AIP)及非高密度脂蛋白胆固醇与高密度脂蛋白胆固醇比值(NHHR);与炎症和营养状况相关的生物标志物包括中性粒细胞与淋巴细胞比值(NLR)、中性粒细胞百分比与白蛋白比值(NPAR)及单核细胞与淋巴细胞比值(MLR);评估肝纤维化程度和肝功能的生物标志物包括白蛋白-胆红素(ALBI)评分、非酒精性脂肪性肝病纤维化评分(NFS)、纤维化-4(FIB-4)指数和天冬氨酸氨基转移酶与血小板比值指数(APRI)。符合正态分布的计量资料2组间比较采用成组t检验;非正态分布的计量资料2组间比较采用Mann-Whitney U检验;计数资料2组间比较采用χ2检验。采用多因素Logistic回归分析、限制性立方样条分析和中介效应分析研究肝纤维化标志物、炎症标志物与胆结石患病风险之间的关联。  结果  MAFLD患者的胆结石患病率为11.8%。胆结石组与非胆结石组在性别、年龄、吸烟史、糖尿病、高血压、淋巴细胞、血小板、葡萄糖、白蛋白、血清尿酸、丙氨酸氨基转移酶、天冬氨酸氨基转移酶、红细胞、NLR、NPAR、MLR、NFS、FIB-4指数和ALBI评分方面均存在显著差异(P值均<0.05)。多因素Logistic回归分析结果显示,在完全调整后的模型中,NLR[比值比(odds,ratio,OR)=1.091,95%置信区间(95% confidence interval, 95%CI):1.028~1.160]、NPAR(OR=1.073,95%CI:1.042~1.105)、MLR(OR=1.142,95%CI:1.057~1.232)、NFS(OR=1.239,95%CI:1.190~1.291)和FIB-4指数(OR=1.326,95%CI:1.241~1.417)是胆结石患病风险的独立影响因素(P值均<0.05)。限制性立方样条分析显示,NFS和FIB-4指数与胆结石发生风险之间存在显著的非线性关联(非线性P值均<0.05)。中介分析进一步表明,NLR、MLR和NPAR与胆结石的关联部分可通过NFS或FIB-4指数介导,NFS和FIB-4指数的中介占比分别为36.79%、28.09%、29.67%和18.31%、17.70%、11.57%。  结论  MAFLD患者中,NFS和FIB-4指数与胆结石的患病率呈非线性关联,且介导炎症标志物NLR、NPAR和MLR与胆结石风险之间的关联。
肝纤维化及肝硬化
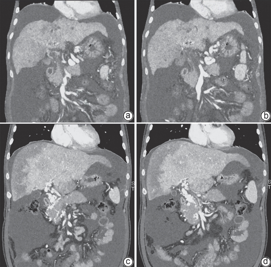
外科辅助经颈静脉肝内门体分流术治疗门静脉高压合并复杂门静脉血栓的效果及安全性分析
范振华, 董成宾, 李其美, 张裕, 吴一凡, 刘东方, 许光中, 王德仲, 陈建飞, 岳振东, 王磊
2026, 42(3): 586-592. DOI: 10.12449/JCH260313
摘要:
  目的  探讨外科辅助经颈静脉肝内门体分流术(SA-TIPS)在门静脉高压合并复杂门静脉血栓(包括门静脉海绵样变)治疗中的可行性、安全性及疗效。  方法  选取2023年11月—2025年1月首都医科大学附属北京世纪坛医院收治的36例行SA-TIPS治疗的门静脉高压合并复杂门静脉血栓患者,统计并分析患者的一般情况、手术过程的技术资料(手术成功率、穿刺针数、手术时间、支架使用数量和分流道长度)、围手术期并发症及手术恢复情况等。比较分流术前后门静脉压力梯度(PPG)变化,计算PPG下降达标率和术后1周内支架通畅率。计量资料两组间比较采用配对样本t检验。  结果  36例患者中,34例(94.4%)成功实施SA-TIPS。围手术期并发症发生率为16.7%(6/36),包括胸腹腔出血3例,术中心律失常2例,切口感染1例。SA-TIPS分流后PPG较术前显著下降(t=19.85,P<0.01),其中PPG下降幅度≥50%的患者占76.5%(26/34),1周内影像学复查分流道通畅率为100%。  结论  SA-TIPS治疗合并复杂门静脉血栓(包括门静脉海绵样变)的门静脉高压具有技术成功率高、安全有效的优势,值得临床推广。
胸腺素β4对四氯化碳诱导的肝纤维化小鼠模型的影响及其作用机制
朱耘函, 王思琪, 景登娅, 冯勤颖
2026, 42(3): 593-599. DOI: 10.12449/JCH260314
摘要:
  目的  本研究拟探讨胸腺素β4(Tβ4)通过调控血小板衍生生长因子(PDGF)表达及诱导肝星状细胞(HSC)凋亡,对四氯化碳(CCl4)诱导的肝纤维化小鼠模型的干预作用与潜在机制,为临床抗肝纤维化治疗提供新的实验依据。  方法  选取30只雄性C57小鼠,随机分为正常对照组、模型组,以及Tβ4低(3 mg/kg)、中(6 mg/kg)和高(12 mg/kg)剂量治疗组,每组6只。正常对照组自由摄食普通饲料,其余各组腹腔注射50% CCl4与橄榄油混合液建立肝纤维化模型,经超声及病理学验证造模成功后,对各治疗组小鼠连续皮下注射Tβ4干预4周。实验结束后取肝组织行苏木精-伊红及Masson染色观察组织病理变化,应用实时荧光定量聚合酶链反应检测血PDGF mRNA表达,原位末端转移酶标记(TUNEL)法检测HSC凋亡情况。计量资料多组间比较采用单因素方差分析,进一步两两比较采用LSD-t检验。  结果  与模型组比较,Tβ4中、高剂量治疗组小鼠肝纤维化程度均呈现不同程度的减轻。实时荧光定量聚合酶链反应结果显示,Tβ4可显著下调肝组织中PDGF mRNA表达,各剂量治疗组间差异有统计学意义(P<0.05);Tβ4高剂量组与正常对照组PDGF mRNA表达差异无统计学意义(P<0.05)。TUNEL检测结果显示,Tβ4中、高剂量组HSC凋亡数量显著多于模型组。  结论  Tβ4可能通过抑制PDGF表达和促进HSC凋亡,从而改善CCl4诱导的小鼠肝纤维化,提示其在肝纤维化治疗中具有潜在应用价值。
司曲替尼对四氯化碳诱导的肝纤维化小鼠模型的影响及其作用机制
张欢, 吴翔宇, 赵倩雯, 芮法娟, 耿楠, 靳睿, 李婕
2026, 42(3): 600-607. DOI: 10.12449/JCH260315
摘要:
  目的  评估司曲替尼对四氯化碳(CCl4)诱导的小鼠肝纤维化的治疗作用。  方法  将30只8周龄雄性C57BL/6J小鼠随机分为对照组、CCl4模型组及司曲替尼低(5 mg/kg)、中(10 mg/kg)、高(20 mg/kg)剂量组。除对照组外,其余各组通过腹腔注射CCl4诱导肝纤维化(持续4周);自造模首日起,各司曲替尼剂量组每日灌胃相应浓度司曲替尼。检测各组小鼠血清总胆固醇(TC)、甘油三酯(TG)、丙氨酸氨基转移酶(ALT)水平;测定肝组织羟脯氨酸含量;通过苏木精-伊红、Masson及天狼星红染色观察肝组织病理改变;采用实时荧光定量聚合酶链反应和Western Blot分别检测肝组织中平滑肌肌动蛋白α与Ⅰ型胶原蛋白α1基因的mRNA及蛋白表达水平,以综合评估药物疗效。计量资料多组间比较采用单因素方差分析,进一步两两比较采用LSD‑t检验。  结果  与对照组相比,模型组TC、TG和ALT水平均显著升高(P值均<0.05);与模型组相比,司曲替尼各剂量组TC、TG和ALT水平差异无统计学意义(P值均>0.05)。经司曲替尼干预后,肝组织羟脯氨酸水平下降,中、高剂量组与CCl4模型组相比,差异均有统计学意义(P值均<0.05)。病理染色结果显示,司曲替尼治疗组胶原沉积减少,纤维间隔变薄、稀疏;司曲替尼高剂量组中,4只小鼠肝纤维化分期为S0~S1,2只为S2~S3,较CCl4模型组肝纤维化程度有所缓解(S3~S4为主)。分子水平检测显示,司曲替尼可下调平滑肌肌动蛋白α与Ⅰ型胶原蛋白α1基因的mRNA及蛋白表达(P值均<0.05)。  结论  司曲替尼能有效缓解CCl4诱导的小鼠肝纤维化,其作用机制可能与抑制肝星状细胞活化及胶原合成有关。
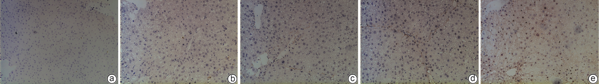
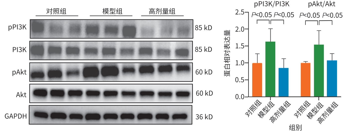
黄芪甲苷Ⅳ对四氯化碳诱导的肝纤维化小鼠模型的影响及其作用机制
朱宛春, 邱嘉昊, 崔钰, 张伊婧, 尚志, 高月求, 黄凌鹰
2026, 42(3): 608-617. DOI: 10.12449/JCH260316
摘要:
  目的  明确黄芪甲苷Ⅳ(AS-Ⅳ)在体内外的肝脏保护和抗肝纤维化作用,并探讨其在抗肝纤维化中的作用机制。  方法  动物实验:将C57BL/6J小鼠分为对照组、模型组、AS-Ⅳ低剂量组(20 mg/kg)和AS-Ⅳ高剂量组(80 mg/kg)。通过腹腔注射四氯化碳6周构建肝纤维化模型,从第3周开始,AS-Ⅳ组分别予以AS-Ⅳ 20 mg/kg、80 mg/kg灌胃,给药4周后检测血清丙氨酸氨基转移酶(ALT)、天冬氨酸氨基转移酶(AST)水平,以及血清透明质酸(HA)、层粘连蛋白(LN)、Ⅲ型前胶原(PⅢNP)及Ⅳ型胶原(Col-Ⅳ)水平;苏木精-伊红染色、天狼星红染色和马松染色观察肝组织病理及胶原沉积情况;定量逆转录聚合酶链反应检测肝组织Acta2、Col1a1、Col3a1的mRNA表达;Western Blot法检测肝组织α-平滑肌肌动蛋白(α-SMA)、Ⅲ型胶原蛋白(Col-Ⅲ)、磷酸化磷脂酰肌醇3-激酶(pPI3K)/PI3K、磷酸化蛋白激酶B(pAkt)/Akt蛋白表达水平;运用转录组学技术对小鼠肝组织进行测序分析,筛选差异基因并进行生物信息学分析。细胞实验:采用转化生长因子β(TGF-β)诱导LX-2细胞活化,进一步使用PI3K抑制剂LY294002以及PI3K激动剂740 Y-P对细胞进行干预,设对照组、模型组、AS-Ⅳ组、LY294002组、AS-Ⅳ+740 Y-P组,36 h后收集细胞。检测LX-2细胞α-SMA、Col-Ⅲ、pPI3K/PI3K和pAkt/Akt蛋白表达的变化,以及Acta2、Col1a1和Col3a1的mRNA相对表达量。计量资料多组间比较采用单因素方差分析,进一步两两比较使用LSD-t检验。  结果  动物实验:与模型组相比,AS-Ⅳ治疗组小鼠血清ALT、AST、HA、LN、PⅢNP和Col-Ⅳ水平均显著降低(P值均<0.01);肝组织Acta2、Col1a1和Col3a1的mRNA表达均显著降低(P值均<0.05);与模型组相比,治疗组小鼠肝组织α-SMA、Col-Ⅲ、pPI3K和pAkt(Ser473)的蛋白表达均显著减少(P值均<0.05)。细胞实验:与对照组相比,TGF-β诱导后模型组细胞α-SMA、Col-Ⅲ、pPI3K和pAkt蛋白表达水平显著升高(P值均<0.05);与模型组比较,AS-Ⅳ组细胞α-SMA、Col-Ⅲ、pPI3K和pAkt(Ser473)蛋白表达水平显著降低(P值均<0.05),LY294002组细胞pPI3K蛋白表达,以及Acta2、Col1a1和Col3a1的mRNA相对表达量亦显著降低(P值均<0.05)。而予740 Y-P干预后,与AS-Ⅳ组相比,pPI3K蛋白表达及Acta2、Col1a1和Col3a1的mRNA相对表达量均明显升高(P值均<0.05)。  结论  AS-Ⅳ通过抑制肝星状细胞活化从而改善肝纤维化,其作用机制可能与抑制PI3K/Akt信号通路有关。
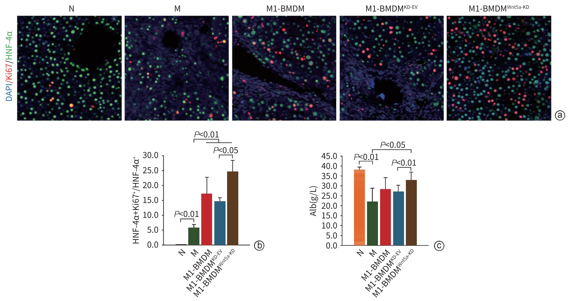
Wnt5a基因敲低的M1型骨髓源性巨噬细胞对肝硬化大鼠模型的影响及其作用机制
邢飞飞, 王丹阳, 郑欣瑞, 许燕楠, 张士豪, 战俊邑, 刘伟, 陈高峰, 陈佳美, 刘平, 慕永平
2026, 42(3): 618-628. DOI: 10.12449/JCH260317
摘要:
  目的  本研究通过观察Wnt5a基因敲低的M1型骨髓源性巨噬细胞(BMDM)对肝硬化大鼠模型肝纤维化与再生的影响,旨在揭示其相对于未修饰M1-BMDM的功能增益效应。  方法  分离大鼠原代BMDM并极化为M1表型,构建Wnt5a敲低的M1-BMDM。建立四氯化碳/二乙酰氨基芴(CCl4/2-AAF)诱导的肝硬化大鼠模型,于第8周末随机分为模型组(n=6)、M1-BMDM组(n=6)、M1-BMDM Wnt5a基因敲减空载质粒组(M1-BMDMKD-EV组)(n=6)、M1-BMDM Wnt5a基因敲减组(M1-BMDMWnt5a-KD组)(n=6)。第9周首日,各组大鼠予以相应的细胞经尾静脉一次性注射,同时腹腔注射C-C趋化因子受体2型抑制剂。此外,设立未经任何处理的正常对照组(n=6)。于12周末取材,检测肝组织病理、血清肝功能、活化肝星状细胞以及成熟肝细胞标志物的表达水平。计量资料多组间比较采用单因素方差分析,进一步两两比较采用LSD-t检验。  结果  与模型组大鼠比较,各细胞治疗组大鼠肝脏炎症反应明显减轻,血清丙氨酸氨基转移酶(ALT)、天冬氨酸氨基转移酶(AST)活性均显著降低(P值均<0.01),且M1-BMDMWnt5a-KD组血清AST水平显著低于M1-BMDM组(P<0.05)。免疫组织化学染色半定量分析显示,与模型组比较,各细胞治疗组CD68阳性面积百分比均明显减少(P值均<0.05);与M1-BMDMKD-EV相比,M1-BMDMWnt5a-KD组CD68阳性面积百分比显著下降、CD163的阳性面积百分比显著升高(P值均<0.05)。与模型组比较,各细胞治疗组的CD68及肿瘤坏死因子α的mRNA表达显著降低(P值均<0.05),CD68的蛋白表达显著降低(P值均<0.01);与M1-BMDMKD-EV组比较,M1-BMDMWnt5a-KD组CD163蛋白及mRNA表达均显著升高(P值均<0.05),CD68蛋白及mRNA表达显著降低(P值均<0.05),肿瘤坏死因子α的蛋白表达显著降低(P<0.01)。天狼星红胶原染色和α-平滑肌肌动蛋白(α-SMA)的免疫组织化学染色结果显示,与模型组比较,各细胞治疗组肝脏胶原沉积和α-SMA阳性面积明显减轻,尤以M1-BMDMWnt5a-KD组最为显著;且M1-BMDMWnt5a-KD组天狼星红阳性面积、α-SMA阳性面积和肝组织羟脯氨酸(Hyp)含量亦显著低于M1-BMDMKD-EV组(P值均<0.05)。与M1-BMDMKD-EV组相比,M1-BMDMWnt5a-KD组α-SMA蛋白和mRNA以及Ⅰ型胶原蛋白和转化生长因子β的mRNA表达水平显著降低(P值均<0.05)。与模型组比较,各细胞治疗组肝组织肝细胞核因子4α(HNF-4α)蛋白表达显著升高(P值均<0.05),且M1-BMDMWnt5a-KD组HNF-4α和肝细胞特异性抗原的蛋白与mRNA的表达均显著高于M1-BMDMKD-EV组(P值均<0.05)。M1-BMDMWnt5a-KD组血清白蛋白含量亦显著高于M1-BMDMKD-EV组(P<0.01)。免疫荧光共染检测技术显示,与模型组相比,各细胞治疗组HNF-4α/Ki67共染细胞数量显著增多(P值均<0.01),且M1-BMDMWnt5a-KD组HNF-4α/Ki67共染细胞数量显著高于M1-BMDMKD-EV组(P<0.05)。  结论  抑制Wnt5a表达可提高M1-BMDM治疗CCl4/2-AAF诱导肝硬化大鼠模型的效果,为基因修饰提高M1-BMDM抗肝硬化作用提供了新思路。
肝脏肿瘤
氩氦刀冷冻消融联合靶向药物和程序性死亡受体1单抗治疗年龄>60岁不可切除肝细胞癌患者的效果及安全性分析
弓树娟, 常秀娟, 刘妍, 纪冬, 陈艳, 何权威, 杨永平
2026, 42(3): 629-638. DOI: 10.12449/JCH260318
摘要:
  目的  评估程序性死亡受体1(PD-1)单抗能否提高氩氦刀冷冻消融联合靶向药物治疗年龄>60岁不可切除肝细胞癌(uHCC)患者的疗效及安全性。  方法  回顾性分析2013年1月—2024年9月中国人民解放军总医院第五医学中心收治的124例年龄>60岁中晚期uHCC患者临床资料。采用倾向性评分匹配后,氩氦刀冷冻消融联合靶向药物治疗(二联组)和氩氦刀冷冻消融联合靶向药物及PD-1单抗治疗(三联组)各57例。疗效评价指标包括客观缓解率(ORR)、疾病控制率(DCR)、无进展生存期(PFS)、总生存期(OS)及不良事件发生率。计量资料两组间比较采用Mann-Whitney U检验;计数资料两组间比较采用χ2检验或Fisher精确检验。采用Kaplan-Meier法绘制生存曲线,并运用Log-rank检验比较组间差异。Cox比例风险回归模型分析生存预后的影响因素。  结果  三联组患者的ORR显著高于二联组(59.6% vs29.8%,χ2=9.083,P=0.003),但DCR未见显著差异(87.7% vs77.2%,χ2=1.516,P=0.218);三联组患者中位PFS(9.1个月vs 4.8个月,χ2=7.813,P=0.005)及中位OS(26.1个月vs 13.6个月,χ2=14.199,P<0.001)均显著长于二联组。多因素Cox回归分析显示,三联治疗方案是PFS(风险比=0.52,95%置信区间:0.35~0.78,P=0.001)和OS(风险比=0.32,95%置信区间:0.20~0.51,P<0.001)的独立影响因素。两组治疗相关不良事件发生率差异均无统计学意义(P值均>0.05)。  结论  氩氦刀冷冻消融联合靶向药物及PD-1单抗三联治疗可显著改善年龄>60岁uHCC患者的生存获益,且安全性可控。
其他肝病
门静脉-肝窦血管性疾病患者肌肉改变的临床特征及危险因素分析
李睿佳, 龚宇翔, 张誉, 李莎莎, 杨永峰
2026, 42(3): 639-646. DOI: 10.12449/JCH260319
摘要:
  目的  研究门静脉-肝窦血管性疾病(PSVD)患者中肌肉改变(包括肌少症和肌脂肪变性)的患病情况,并探究相关影响因素,为PSVD患者肌肉改变的早期识别、预防和干预提供理论依据。  方法  连续纳入2017年7月—2024年7月在南京市第二医院确诊的132例PSVD患者为病例组,选取医院2025年职工体检健康人群为健康对照组,按年龄、性别1∶1行倾向评分匹配。根据腹部计算机体层成像(CT)评估肌肉状态分为无肌肉改变、轻度肌肉改变(单纯肌脂肪变性)及重度肌肉改变(单纯肌少症或肌少症合并肌脂肪变性),以肌肉改变类型及严重程度为处理因素。收集病例组一般资料、实验室检查、第三腰椎(L3)水平CT影像及肝穿刺病理资料,健康对照组收集一般资料与CT影像;在L3水平测量骨骼肌指数诊断肌少症(男<44.77 cm2/m2,女<32.50 cm2/m2),以平均肌肉衰减值结合体重指数(BMI)阈值定义肌脂肪变性(BMI<24.9 kg/m2且平均衰减值<41 HU或BMI≥25 kg/m2且平均衰减值<33 HU)。比较病例组与健康对照组及不同肌肉改变分组间人口学、实验室与临床指标差异。符合正态分布计量资料两组间比较采用成组t检验,非正态分布的计量资料两组间比较采用Mann-Whitney U检验;计数资料两组间比较采用χ2检验或Fisher精确检验;采用单因素及多因素Logistic回归分析PSVD合并肌少症的相关因素。  结果  132例PSVD患者中有门静脉高压83例,无门静脉高压49例,2组年龄、白蛋白、白球比、白细胞计数、中性粒细胞计数、红细胞计数、血小板计数、直接胆红素、间接胆红素、血红蛋白、血钙、胆碱酯酶、总胆汁酸、甘油三酯、总胆固醇、凝血酶原时间、国际标准化比值、活化部分凝血活酶时间,以及失代偿、胃食管或异位静脉曲张、出血和腹水发生率比较,差异均有统计学意义(P值均<0.05)。匹配后分析显示,PSVD患者(n=132)肌肉结构异常(43.18% vs 18.94%)与轻度(22.73% vs 7.58%)、重度(20.45% vs 11.36%)肌肉改变的患病率均高于健康对照组(n=132)(P值均<0.001)。进一步比较发现,PSVD有无门静脉高压患者合并肌肉变化的比例差异无统计学意义(42.17% vs 44.90%,P=0.760)。以有无肌肉改变为因变量的二分类Logistic回归多因素分析显示,年龄[比值比(OR)=1.05,95%置信区间(CI):1.02~1.09]、皮下脂肪指数(OR=1.03,95%CI:1.01~1.06)、血红蛋白(OR=0.97,95%CI:0.95~0.99)、凝血酶时间(OR=1.26,95%CI:1.06~1.49)为PSVD患者肌肉改变的独立影响因素(P值均<0.05);以肌肉改变严重程度为因变量的有序Logistic回归多因素模型显示,年龄(OR=1.04,95%CI:1.01~1.07)、凝血酶时间(OR=1.17,95%CI:1.01~1.36)为肌肉改变类型分级的独立危险因素(P值均<0.05)。  结论  PSVD患者合并肌肉改变较为常见;肌肉变化可能为PSVD本身所致而非继发于门静脉高压,年龄、脂肪分布、凝血酶时间和血红蛋白为肌肉变化的重要影响因素。
胰腺疾病
急性坏死性胰腺炎患者发生下肢深静脉血栓的影响因素及风险评估模型的有效性分析
杨柳, 朱刚, 曾龙飞, 高本见, 李波
2026, 42(3): 647-654. DOI: 10.12449/JCH260320
摘要:
  目的  探讨急性坏死性胰腺炎(ANP)患者发生下肢深静脉血栓(DVT)的影响因素,识别其独立危险因素,比较三种常用血栓风险评估模型(Caprini评分、Padua评分与Wells评分)在ANP患者中预测DVT的有效性,以期为临床识别高危人群并优化防治策略提供参考依据。  方法  回顾性收集2013年4月—2024年4月泸州市人民医院与西南医科大学附属医院收治的320例ANP患者的临床资料,根据住院期间是否发生DVT分为血栓组(n=25)和对照组(n=295)。使用倾向性评分匹配分析比较2组患者的既往史及住院期间各项检查结果,通过单因素和多因素Logistic回归分析ANP患者住院期间下肢DVT形成的危险因素,并基于独立影响因素建立DVT风险评估模型,进一步通过受试者操作特征曲线评估模型性能。计算并采用DeLong检验比较曲线下面积(AUC)、敏感度及特异度。计量资料两组间比较采用成组t检验或Mann-Whitney U检验;计数资料组间比较采用χ2检验。  结果  倾向性评分匹配后血栓组24例,对照组112例。两组临床特征分析结果显示,血栓组患者的胰腺坏死程度、D-二聚体水平、急性胰腺炎严重程度床旁指数(BISAP)评分、透析史占比均高于对照组患者(P值均<0.05)。多因素Logistic回归分析结果显示,BISAP评分、胰腺坏死程度、D-二聚体水平是ANP患者住院期间发生下肢DVT的独立危险因素(P值均<0.05)。BISAP评分+Caprini评分预测患者下肢DVT风险的AUC为0.832(95%置信区间:0.722~0.942,P<0.001),约登指数为1.661,最佳截断值为0.26,敏感度和特异度分别为75.0%和91.1%。  结论  D-二聚体、BISAP评分、胰腺坏死程度是ANP患者住院期间发生下肢DVT的独立危险因素,BISAP评分+Caprini评分评估模型能够有效预测ANP患者的DVT风险。
病例报告
妊娠合并罗托综合征1例报告
高立洁, 莫艳波, 梁笑楠, 张晓岚
2026, 42(3): 655-660. DOI: 10.12449/JCH260321
摘要(106) HTML (43) PDF (1460KB)(146)
摘要:
罗托综合征是一种常染色体隐性胆红素代谢障碍性疾病,因其极为罕见且临床表现缺乏特异性,难以诊断和鉴别。近年来,基因检测技术的发展为不典型患者的早期诊断提供了可能。经检索,目前仅有19例详尽临床及遗传数据的病例被报道。本文报道了1例妊娠期间以直接胆红素水平升高为主、溶质载体有机阴离子转运蛋白家族成员1B1/1B3双基因纯合突变诊断为罗托综合征并成功分娩的孕妇,并对相关文献进行回顾性分析,旨在从遗传机制角度探讨罗托综合征的早期精准诊断与用药策略。
综述
他汀类药物在代谢相关脂肪性肝病治疗中的应用
孙丹丹, 李睿思, 扈晓宇
2026, 42(3): 661-667. DOI: 10.12449/JCH260322
摘要:
代谢相关脂肪性肝病(MAFLD)及其进展形式——代谢相关性脂肪性肝炎(MASH)已成为全球慢性肝病的主要病因,其发病率持续上升,与肥胖、2型糖尿病等代谢紊乱密切相关。MAFLD的核心发病机制涉及胰岛素抵抗、脂代谢异常及慢性炎症反应,可进展为MASH,导致肝纤维化、肝硬化甚至肝细胞癌。目前,针对MAFLD的有效药物治疗仍有限。本文基于PRISMA指南,系统综述他汀类药物在MAFLD治疗中的作用。研究表明,他汀类药物不仅能改善血脂谱和肝酶水平,还对合并心血管疾病或2型糖尿病等患者具有良好获益,且长期使用还可以降低肝细胞癌风险。然而,其潜在的肝毒性及肌病风险需警惕,因此临床应个体化用药并定期监测肝功能。
肝内巨噬细胞在代谢相关脂肪性肝病中的调控作用及其机制
亓传旺, 朱英
2026, 42(3): 668-675. DOI: 10.12449/JCH260323
摘要:
随着生活水平提高,代谢相关脂肪性肝病(MAFLD)的发病率日趋上升,且呈现年轻化趋势,已成为全球性健康问题,然而其具体发病机制尚未明确。巨噬细胞作为参与MAFLD发病的重要细胞之一,具有抗原提呈、清除病原微生物以及促进肝脏炎症反应等重要功能,长期以来备受关注。最新研究表明,巨噬细胞或将成为MAFLD的新型治疗靶点。本文系统综述了肝内巨噬细胞在MAFLD相关肝脏炎症中的作用,包括其活化、极化、募集机制以及与其他细胞的相互作用,旨在为MAFLD的临床预防和治疗提供新思路与视角。
噬菌体在代谢相关脂肪性肝病中的调控机制及治疗应用前景
罗泳珊, 陈慧婷
2026, 42(3): 676-682. DOI: 10.12449/JCH260324
摘要(100) HTML (31) PDF (961KB)(40)
摘要:
代谢相关脂肪性肝病(MAFLD)是目前全球患病率最高的慢性肝病之一,迄今尚缺乏有效治疗方法。噬菌体作为肠道微生物群的重要组成部分,近年研究发现其可通过重塑菌群结构、调节肠屏障功能以及肠-肝轴信号传递,在MAFLD的病理进程中发挥关键作用。研究表明,MAFLD患者肠道噬菌体多样性下降,特定噬菌体的丰度与疾病严重程度密切相关。其潜在机制涉及噬菌体对肠道屏障功能的调节、对致病菌的靶向清除与有益菌的促定植作用,以及对免疫反应和炎症因子释放的调控。动物模型及临床前期试验显示,靶向干预噬菌体策略有望缓解肝脏炎症、改善脂肪变性及代谢紊乱。然而,噬菌体耐药性、宿主-噬菌体相互作用的复杂性及临床转化的安全性问题,仍是当前面临的挑战。本综述系统阐述了噬菌体在MAFLD中的调控机制及治疗应用前景,以期为该领域的后续研究及噬菌体疗法的开发提供理论参考。
磁共振弹性成像在代谢相关脂肪性肝病肝纤维化评价中的应用
张子毅, 尤红, 佟小非
2026, 42(3): 683-689. DOI: 10.12449/JCH260325
摘要(135) HTML (29) PDF (675KB)(49)
摘要:
磁共振弹性成像(MRE)已成为代谢相关脂肪性肝病(MAFLD)中诊断和分期纤维化的重要工具,其具有较高的诊断准确性,能够有效评估MAFLD患者肝纤维化的动态变化及其长期预后。此外,MRE在代谢相关脂肪性肝炎新药研发的患者筛选与疗效评估中也显示出广泛潜力。本文综合分析了MRE在评估MAFLD患者肝纤维化方面的潜在价值,并探讨了其在临床实践中的优势和未来的发展方向。
原发性胆汁性胆管炎患者疲劳的发生机制及临床评估与干预
任威瑞, 张创, 赵文娟, 王军民
2026, 42(3): 690-696. DOI: 10.12449/JCH260326
摘要:
原发性胆汁性胆管炎(PBC)是一种以肝内胆汁淤积为特征的自身免疫性肝病,疲劳是其常见且显著影响生活质量的重要症状。PBC患者疲劳的发生机制复杂,可能与胆汁淤积引发的炎症反应、肠道菌群紊乱、脑结构和功能异常以及线粒体功能障碍等因素有关。当前,一线药物和肝移植对改善疲劳的效果有限,且缺乏统一的综合评估体系。新兴药物和生活方式调整等非药物干预手段,则表现出潜在的应用前景。本文系统综述了PBC患者疲劳的临床表现、发生机制、临床评估及干预措施的研究进展,旨在为优化治疗策略和推动新疗法研发提供参考。
10-11易位蛋白2(TET2)介导的表观遗传与肠道微生物-免疫互作对自身免疫性肝炎的调控作用
王莉芬, 李玲, 刘光伟
2026, 42(3): 697-703. DOI: 10.12449/JCH260327
摘要:
10-11易位蛋白2(TET2)作为表观遗传调控核心酶,可通过介导DNA去甲基化动态调节CD4+ T细胞分化及功能。近年研究发现,TET2缺失可通过扰乱辅助性T细胞17/调节性T细胞之间的平衡,激活肠-肝轴炎症信号通路,从而促进自身免疫性肝炎(AIH)进展。本文系统综述了TET2在CD4+ T细胞和肠道微生物间的桥梁作用,深入探讨其通过肠道微生物-表观遗传-免疫网络驱动AIH的分子机制,并展望靶向TET2-菌群轴的潜在干预策略。
组蛋白乳酸化修饰在肝纤维化中的调控作用
曾唯楚, 吕星, 李丰帆, 刘珍妮, 李俊钢, 张伟林, 刘佩婷, 李炳杵, 陈若虹, 陈芷阳, 胡敏
2026, 42(3): 704-710. DOI: 10.12449/JCH260328
摘要:
肝纤维化是多种慢性肝病共有的可逆性病理过程,与肝硬化和肝癌等严重肝脏疾病的发生发展密切相关,已成为全球范围内的重大健康问题之一。近年来,新发现的表观遗传修饰组蛋白乳酸化被证实参与调控肝纤维化进程。本文系统综述了组蛋白乳酸化在炎症微环境与肝纤维化相互作用中的核心调控作用,旨在阐明“炎症-肝纤维化”级联调控机制,为肝纤维化的早期诊断、靶向干预及阻断恶性转化提供新视角。
细胞器相互作用在肝纤维化进展中的作用机制及中药防治策略
郑瑗瑗, 赵晨露, 张丽慧, 刘素彤, 赵文霞
2026, 42(3): 711-717. DOI: 10.12449/JCH260329
摘要:
肝纤维化是多种慢性肝病进展至肝硬化的核心病理阶段,其发生发展主要依赖于肝星状细胞的活化及胶原纤维的异常沉积。近年研究发现,肝星状细胞的活化受到多种细胞器(包括线粒体、内质网、高尔基体、溶酶体和过氧化物酶体等)彼此间复杂相互作用的调控,这些互相作用共同影响能量代谢、蛋白质合成与折叠、活性氧平衡及自噬等关键细胞过程,进而参与肝纤维化进展。同时,具有多靶点协同作用的中药及其活性成分受到研究者的广泛关注。本文从细胞器间相互作用的角度出发,系统阐述其在肝纤维化进展中的具体作用机制,并重点综述中药如何通过调控上述细胞器功能及其互作网络,抑制肝星状细胞活化及胶原生成,从而发挥抗肝纤维化效应,以期为深入解析肝纤维化病理机制及开发中药新型干预策略提供理论依据。
基于肠道菌群-胆汁酸轴探讨肝硬化的发病新机制及干预策略
刘宁宁, 崔文婷, 慕淑丽, 马秀珍, 麦平
2026, 42(3): 718-725. DOI: 10.12449/JCH260330
摘要(126) HTML (31) PDF (743KB)(40)
摘要:
肝硬化是多种慢性肝病进展的终末阶段,伴随严重并发症且病死率高。近年来研究表明,肠道菌群和胆汁酸代谢的交互作用(肠道菌群-胆汁酸轴)与肝硬化密切相关。本文系统综述了肠道菌群-胆汁酸轴在肝硬化进展中的作用机制,阐述了肝硬化的病理特征及对机体的危害,概述了肠道菌群-胆汁酸轴与肝硬化发生发展的关联,剖析了该轴在肝硬化病程演进中的关键调控作用,并探讨了其作为肝硬化治疗靶点的潜在应用价值,以期为探索更有效的临床干预手段提供理论依据。
铁死亡抑制蛋白1(FSP1)-辅酶Q10(CoQ10)和二氢乳清酸脱氢酶(DHODH)双通路在肝细胞癌铁死亡中的作用及其临床意义
杨晶涵, 王中峰, 王越晖
2026, 42(3): 726-732. DOI: 10.12449/JCH260331
摘要(114) HTML (56) PDF (733KB)(38)
摘要:
肝细胞癌(HCC)是全球常见且致死率高的恶性肿瘤,患者总体生存获益有限、耐药问题突出,亟需新的增敏策略和分层体系。铁死亡是一种铁依赖的脂质过氧化细胞死亡形式,与肿瘤治疗反应密切相关。除经典的谷胱甘肽过氧化物酶4(GPX4)/谷胱甘肽(GSH)通路外,铁死亡抑制蛋白1(FSP1)-辅酶Q10(CoQ10)和二氢乳清酸脱氢酶(DHODH)是两条新的抗铁死亡通路,分别在质膜和线粒体发挥作用,与GPX4协同决定细胞对铁死亡的敏感性。本文系统综述了FSP1-CoQ10和DHODH通路在HCC中的作用机制与研究进展,并提出相关治疗策略以及展望其临床转化应用前景。
胆管反应的发生机制及治疗策略
单佳燕, 徐华谦, 柏承志, 张亮, 杜超, 张勇, 汤善宏
2026, 42(3): 733-738. DOI: 10.12449/JCH260332
摘要:
胆管反应(DR)是肝胆损伤后发生的适应性病理改变,本质上是一种修复反应,涉及胆管上皮细胞增殖、纤维化和炎症反应。随着对胆管上皮细胞生物学功能的认识,DR在疾病预后和治疗中的潜在价值逐渐成为研究热点。本文系统综述了DR发生发展的分子机制、作为治疗靶点的潜力及未来发展方向,并探讨靶向分子机制提示新型疗法,为突破当前胆管疾病治疗的瓶颈提供新方向。
高脂血症性急性胰腺炎合并脂肪性肝病的分子机制
董说, 王莹, 王希望, 金晶晶, 魏凯, 王晓
2026, 42(3): 739-744. DOI: 10.12449/JCH260333
摘要:
高脂血症性急性胰腺炎和脂肪性肝病均与脂质代谢紊乱有关,二者在临床上常合并存在。其发生机制涉及高甘油三酯血症、代谢综合征、肥胖及胰岛素抵抗等多种因素的相互作用,这些因素可形成恶性循环,共同促进疾病进展。高脂血症性急性胰腺炎在临床上具有病情重、并发症发生率高、病死率高及易复发等特点,若治疗延误,易导致多器官损伤,甚至引发多器官功能衰竭,严重威胁患者生命。本文从高脂血症性急性胰腺炎合并脂肪性肝病相关的多种信号调控通路入手,分析并探讨二者协同致病的潜在分子机制,从而为该共患病的早期预防与治疗提供一定的参考依据。
国外期刊精品文章简介
Alimentary Pharmacology & Therapeutics|整合乙型肝炎病毒表面抗原定量的新型评分模型精准预测经治乙型肝炎患者的肝细胞癌发生风险
2026, 42(3): 508-508. DOI: 10.12449/JCH2603.gwqkjpwzjj1
摘要:
Lancet Gastroenterology & Hepatology|Linerixibat 治疗原发性胆汁性胆管炎伴胆汁淤积性瘙痒症患者:一项随机、多中心、双盲、安慰剂对照的Ⅲ期临床试验
2026, 42(3): 628-628. DOI: 10.12449/JCH2603.gwqkjpwzjj2
摘要:
Liver International|胰岛素样生长因子结合蛋白4: 原发性胆汁性胆管炎的一项潜在生物标志物
2026, 42(3): 646-646. DOI: 10.12449/JCH2603.gwqkjpwzjj3
摘要:
读者·作者·编者
《临床肝胆病杂志》关于论文中术语和英文缩略语的使用要求
2026, 42(3): 528-528.
摘要:
《临床肝胆病杂志》论著类文章摘要的撰写要求
2026, 42(3): 654-654.
摘要:
《临床肝胆病杂志》对形态学图片的质量和制作要求
2026, 42(3): 660-660.
摘要:
《临床肝胆病杂志》关于利益冲突声明和作者贡献声明的要求
2026, 42(3): 675-675.
摘要:
《临床肝胆病杂志》常见异形词
2026, 42(3): 689-689.
摘要:
《临床肝胆病杂志》推荐使用的规范医学名词术语
2026, 42(3): 725-725.
摘要:
消息
《临床肝胆病杂志》2026年1~9期重点号选题及执行主编
2026, 42(3): 567-567.
摘要:
致谢
本期审稿专家
2026, 42(3): 703-703. DOI: 10.12449/JCH2603.zhixie
摘要: